脑积水CT

一直以为是脑外伤后遗症,原来却是脑积水.
图片尺寸1200x1600
神外例说|天津市环湖医院郭芳:特发性正常压力脑积水(inph)行走障碍的
图片尺寸993x1000
青岛大学附医成磊:脑膜瘤术后并发硬膜下积液及脑积水的治疗
图片尺寸512x512![【读片】脑积水 [病例帖]](https://imgs.wantubizhi.com/img/735A5D1F980B52A636CC46F12F2D1A730E3061E0679390DC708BB7869EA5E88CC8BCA0A6FE737FB09FEB04A7091569B8BC3B3683F80AC31749443BCACE27B984F02C2536F409A6CD326411638E3525BE82DEC67B4FC79C2FA3E9B7A7C47F2ADD)
【读片】脑积水 [病例帖]
图片尺寸2000x3008
脑积水ct影像
图片尺寸1500x935
成人正常脑ct和脑积水ct影像对比脑积水是由于颅脑疾患使得脑脊液分泌
图片尺寸704x426
脑积水一例
图片尺寸3264x2448
查头颅ct:脑室系统扩张,脑积水(图-4)
图片尺寸602x307
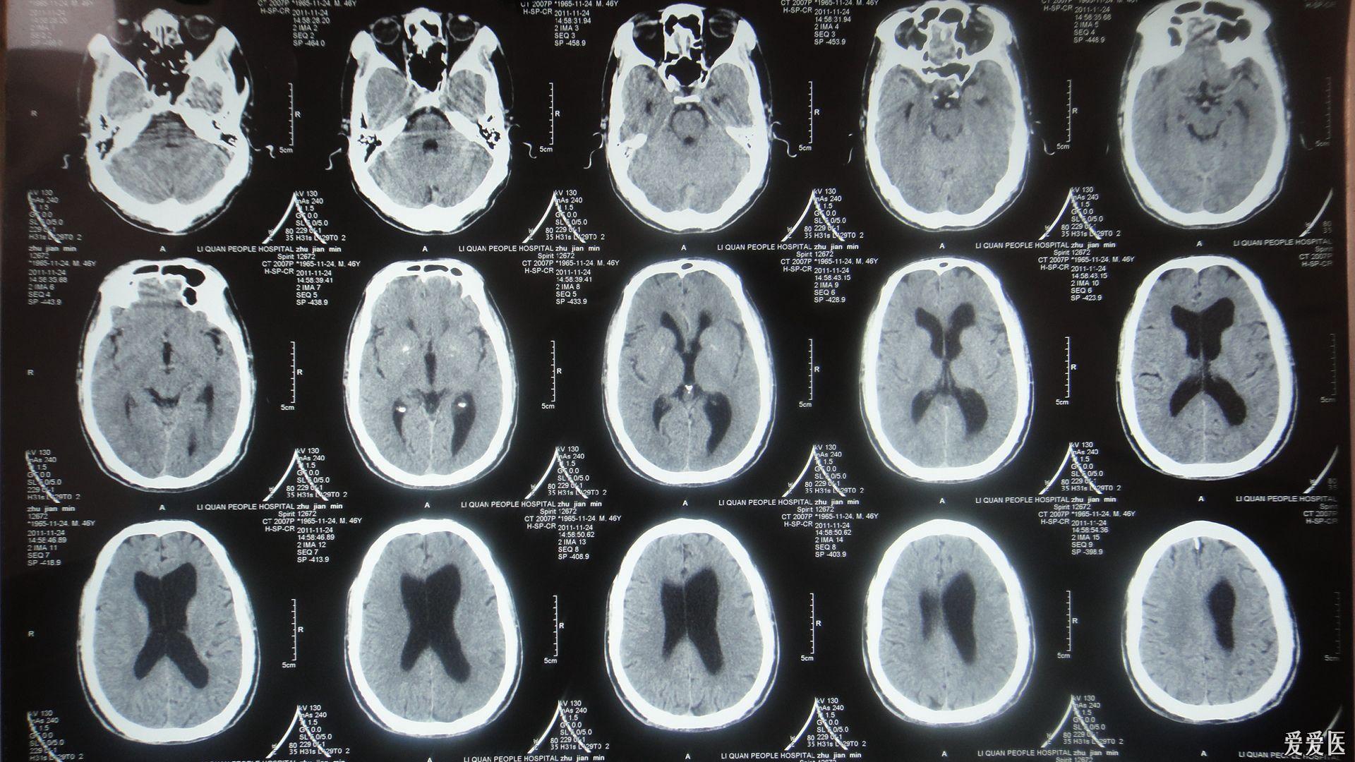
术后复查头颅ct脑积水明显,胶干扰较大
图片尺寸2000x2667
【原创】典型的梗阻性脑积水
图片尺寸2400x3200
肖庆:患者间歇性头疼2个月,一查竟然是脑积水!_手机搜狐网
图片尺寸2976x3968
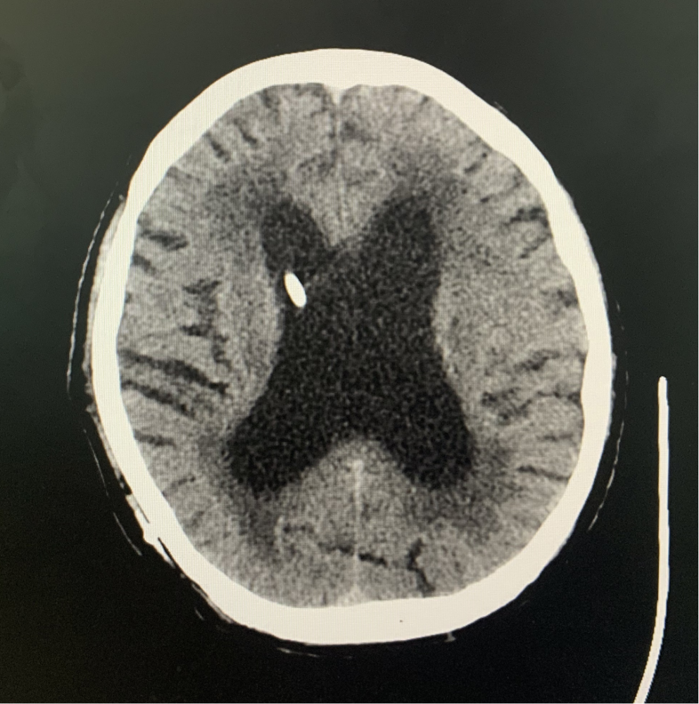
脑积水ct显示,侧脑室明显扩大,脑沟脑回消失
图片尺寸1080x1330
61岁车祸撞击到头部ct显示有脑积水轻微脑萎缩,现在摇头刷牙会头痛没
图片尺寸864x1152
脑积水一例
图片尺寸1920x1080
该脑积水病例手术指征明确明确吗?
图片尺寸1536x2048
(图文了解脑积水)_脑积水_介绍_症状表现_检查_治疗方式 - 好大夫在线
图片尺寸756x442
案例59 脑积水
图片尺寸650x727
漫谈脑积水的ct诊断
图片尺寸1051x1122
脑积水,脑发育不良.jpg
图片尺寸2048x1536
新生儿双胞胎低体重脑积水一对(小儿神经外科系列三)---浙二神外周刊
图片尺寸984x562