脑积水ct图片

脑积水ct影像
图片尺寸1500x935
案例59 脑积水
图片尺寸650x727
脑积水一例
图片尺寸3264x2448![【读片】脑积水 [病例帖]](https://imgs.wantubizhi.com/img/735A5D1F980B52A636CC46F12F2D1A730E3061E0679390DC708BB7869EA5E88CC8BCA0A6FE737FB09FEB04A7091569B8BC3B3683F80AC31749443BCACE27B984F02C2536F409A6CD326411638E3525BE82DEC67B4FC79C2FA3E9B7A7C47F2ADD)
【读片】脑积水 [病例帖]
图片尺寸2000x3008
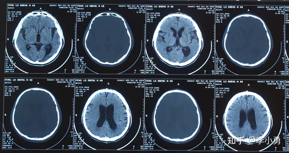
脑积水ct显示:侧脑室,三脑室扩大有症状的脑积水应该及时手术治疗.
图片尺寸1080x1330
一直以为是脑外伤后遗症,原来却是脑积水.
图片尺寸1200x1600
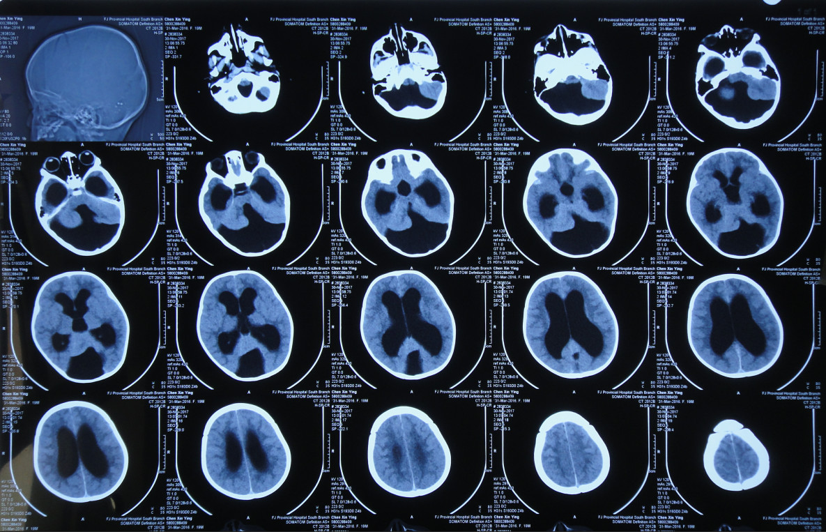
查头ct:后颅窝蛛网膜囊肿,重度脑积水(交通性),双侧小脑蚓部未见,考虑
图片尺寸1185x763
【原创】典型的梗阻性脑积水
图片尺寸2400x3200
成人正常脑ct和脑积水ct影像对比脑积水是由于颅脑疾患使得脑脊液分泌
图片尺寸704x426
2017年10月19日,在山西省某三甲医院复查头颅ct提示:"脑积水较前增加"
图片尺寸862x590
在山西省某三甲医院复查,头颅ct提示"梗阻性脑积水,侧脑室,三脑室增大
图片尺寸926x490
肖庆:患者间歇性头疼2个月,一查竟然是脑积水!_手机搜狐网
图片尺寸2976x3968
术后3周ct复查,脑水肿消退,中线居中.
图片尺寸2048x1536
脑积水一例
图片尺寸1920x1080
罕见脑积水病例
图片尺寸960x1280
61岁车祸撞击到头部ct显示有脑积水轻微脑萎缩,现在摇头刷牙会头痛没
图片尺寸864x1152
大头娃娃除了关注奶粉更要警惕脑积水
图片尺寸644x721
贺晓生教授婴儿脑积水治疗三年后实例展示
图片尺寸2000x1433
该脑积水病例手术指征明确明确吗
图片尺寸1536x2048
术前患者病情加重,朦胧状态,肢体无瘫痪,复查ct提示脑积水.
图片尺寸2000x2667