脑移植

头部移植的诡异历史,回顾世界首例"头部移植手术"
图片尺寸450x360
脑转移瘤1.jpg
图片尺寸1031x824
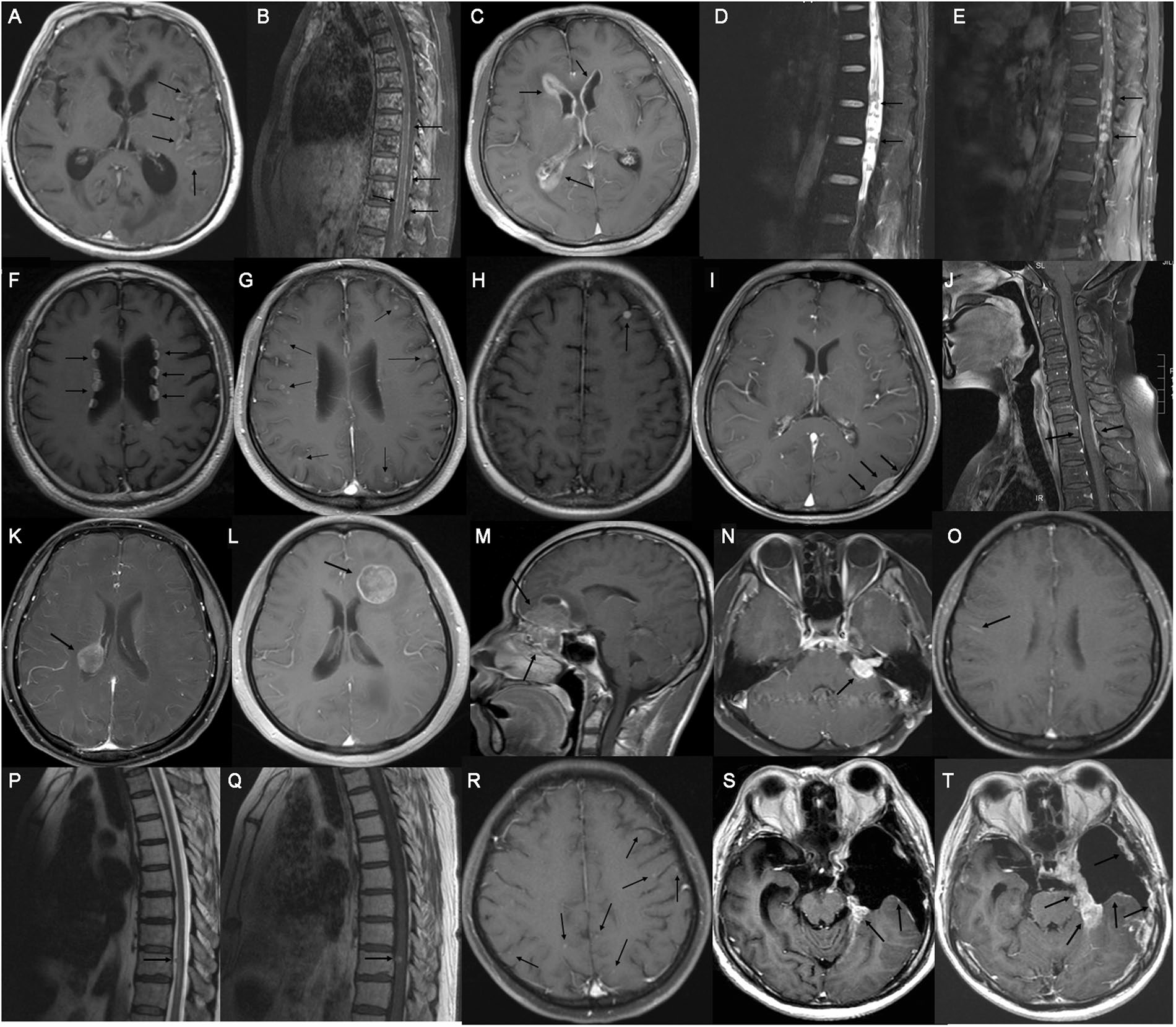
脑膜转移的主要临床特征和诊断方法
图片尺寸1900x1659
世界首例遗体换头术在中国成功伦理问题成世人热议焦点
图片尺寸640x418
脑转移也不惧照一照就小了
图片尺寸960x565
第二届非小细胞肺癌脑转移癌论坛在广州成功成功举办
图片尺寸650x681
特大惊喜 世界首例头颅在中国移植成功 原创
图片尺寸512x288
脑转移瘤放疗技术
图片尺寸640x480
"运动脑齑脑,绿色促进环保"慢步人生之樊登读书线下特别活动-在线
图片尺寸500x360
福建三博福能脑科医院:脑干肿瘤全切,成功挑战"世界难题"_中国网
图片尺寸854x621
世界首例人体头颅移植手术将在2030年进行
图片尺寸640x441
未来已来脑机接口是一门怎样的科技
图片尺寸800x563
颅内异物取出带蒂骨膜瓣移植游离颞肌瓣移植颅底修补术一例
图片尺寸314x325
头颅移植手术
图片尺寸1024x684
突破 神经干细胞成功移植脑梗死患者 - 抖音
图片尺寸1080x2160
医学3d动画演示:冠状动脉旁路移植(搭桥)术
图片尺寸864x486
南加州大学研发大脑植入物可提升30%记忆力
图片尺寸1234x1071
将别人看到的东西移植到你的大脑是怎样的体验新的脑机接口让其成为
图片尺寸631x365
精彩幻灯:端脑
图片尺寸640x480
孩子成绩不好刻苦努力没用家长应该思考更多
图片尺寸831x701