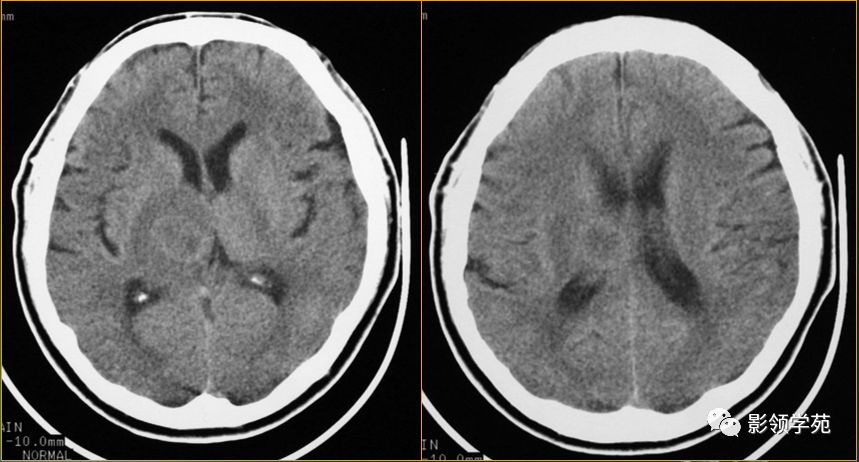
脑结核

《中华结核和呼吸杂志》2015年【影像病理】颅内感染性疾病--结核性脑
图片尺寸960x720
颅内结核影像表现_神经
图片尺寸640x480
9.结核性脑膜炎
图片尺寸500x689
颅内结核mri影像表现鉴别诊断丨影像天地
图片尺寸600x600
双侧侧脑室周围,大脑皮层下见小结节状,小片状压水高信号
图片尺寸900x1600
结核性脑膜炎头颅 mri 表现:脑膜强化合并脑膜结节
图片尺寸640x671
丁香园论坛
图片尺寸3397x7232
脑结核瘤是结核性脑膜炎吗
图片尺寸650x694
《中华结核和呼吸杂志》2015年【影像病理】颅内感染性疾病--结核性脑
图片尺寸960x720
结核性脑膜炎,这些影像征象你当知_手机搜狐网
图片尺寸600x450
《中华结核和呼吸杂志》2015年【影像病理】颅内感染性疾病--结核性脑
图片尺寸960x720
结核性脑膜炎,这些影像征象你当知
图片尺寸600x450
结核性脑膜炎头颅 mri 表现:脑膜强化合并脑膜结节
图片尺寸640x668
结核性脑膜炎的治疗课件_第4页
图片尺寸1500x1125![【病例讨论】脑内多发结节 [病例帖]](https://imgs.wantubizhi.com/img/A1A61BAA66193547F3A6DD7D8EE527E94E901A0224A205C6E3C0D0431FD9F5F580BD9BC769BDCB4D049E00AC2F047166467ED8129313A5A6426DA90375D40A884D4560A5827E86A83E2A29FBF9B38DF55A758E6302DDE72D5BE4903E8359A5A6)
【病例讨论】脑内多发结节 [病例帖]
图片尺寸3389x5977
近致命性结核脑膜炎性脑积水发病后2个月内先后经4家医院治后仍无改善
图片尺寸640x945
脑脓肿与脑结核的影像表现
图片尺寸859x462
结核性脑膜炎的病因
图片尺寸569x320
艾滋病合并结核性脑膜脑炎的mri表现
图片尺寸1965x1518![结核性脑膜炎?化脓性?是个问题 [病例帖]](https://imgs.wantubizhi.com/img/A1A61BAA66193547F3A6DD7D8EE527E9BF590CC8C1F1525436E93A4923ED22AED22546CE493C3515728A816F04E8BE23A37B6DF5A8C0D13CFAA0F8FF2AE93C074649144FB698B7CADDA06BF44329929DA5E27262ED0F9B3AEF474BCB6B81AD8D)
结核性脑膜炎?化脓性?是个问题 [病例帖]
图片尺寸1600x1200