脑结石

让人头疼的多发结石
图片尺寸680x917
脑子里长了"结石",问题出在了肠道?医生曝光的真相让你想不到
图片尺寸553x353
脑结石
图片尺寸600x455
(图为食管裂孔疝,胸腔胃)(上图为右肾铸形结石,下图为左侧脑出血)(图
图片尺寸1080x1026
科学普及大脑也会得结石浅谈脑结石
图片尺寸361x204
而胆结石患者也会在没有因为胆结石卡在胆囊口或者胆管里疼的满地打滚
图片尺寸1372x976
防治痛风就是防治结石做好预防远离痛风跟结石
图片尺寸500x381
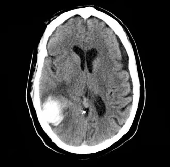
一例青年高血压脑出血患者的相关讨论
图片尺寸536x487
脑出血图像04做ct对人体会有危害吗?
图片尺寸658x646
症状相似孙坚副主任说,胆石症是指胆道系统的任何部位发生结石与炎症
图片尺寸670x515
肿瘤切开剖面图,肾盂鳞癌呈灰白色大片坏死样改变,中间肾盂内可见结石
图片尺寸901x1600
科学普及大脑也会得结石浅谈脑结石
图片尺寸512x288
膀胱癌,神经源性膀胱,消化道肿瘤引起膀胱结石的治疗_膀胱结石_发病
图片尺寸1007x769
先分享几张结石的照片.
图片尺寸522x479
也是比较少见的,借此,可以写一篇科普文,宣传一下泌尿系统结石的预防
图片尺寸4331x2000
鱼脑石
图片尺寸288x242
结石频发分享三味中药利湿热消结石摆脱结石困扰
图片尺寸618x486
如何预防胆结石?最好的办法就是管住嘴,尽量清淡饮食
图片尺寸1080x720
科学普及大脑也会得结石浅谈脑结石
图片尺寸500x500
意想不到头孢曲松抗感染竟引出胆囊结石
图片尺寸600x391