脑肿瘤MRI

脑肿瘤- mri
图片尺寸900x1200
头颅mri增强影像资料显示: 左侧颞顶部脑膜瘤伴相邻脑实质水肿,中线向
图片尺寸2000x2667
术前mri
图片尺寸2667x2000
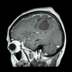
脑肿瘤(矢状面侧视)的mri表现照片
图片尺寸300x300
办特殊病"办出"的脑肿瘤
图片尺寸1904x2193
颅中窝三叉神经神经鞘瘤手术分享
图片尺寸1858x2268
术前核磁水平位增强可见肿瘤体积约为6cm*5cm*6cm大小.
图片尺寸2000x2906
脑膜瘤与血管外皮瘤的mri诊断与鉴别诊断
图片尺寸1080x673
mri检查示左侧颞叶长,等t1混杂信号占位.
图片尺寸984x563
脑磁共振成像(mri),脑瘤
图片尺寸999x1200
76岁脑瘤,请各位专业人士看一下磁共振图片,看看这个情况,分析一下.
图片尺寸3264x1840
关于"脑转移瘤"_脑转移瘤_脑转移瘤治疗方式 - 好大夫在线
图片尺寸1824x1368
患者头颅mri(冠状位)
图片尺寸2000x2666
术前mri
图片尺寸3968x2976
乳腺癌脑转移的mri表现
图片尺寸1575x660
现在完全看不到肿瘤的征象,没有一点点强化.
图片尺寸2971x3103![【病例讨论】血运丰富脑膜瘤 [病例帖]](https://imgs.wantubizhi.com/img/735A5D1F980B52A636CC46F12F2D1A73FD1B3572637D0EBAE7ECFDB29CDEF2BA36D9AB5D037EEDE6EE41AFB8EF652DB721C60ED4E17D35EEBF437E36FEAA0E39AAAA515A235972890EA69F64EA887FD92932E5C4E0F9AF5A2722C68D3D968CB1)
【病例讨论】血运丰富脑膜瘤 [病例帖]
图片尺寸4000x3000
术前mri平扫 增强 mrs,如下
图片尺寸2666x2000
术前头颅mri
图片尺寸1572x717
低价格胶质瘤-丁帆博
图片尺寸2000x2666