脑肿瘤ct图片

脑膜瘤——颅内最常见良性肿瘤,如何认识其治疗措施及相关问题!
图片尺寸3978x1764
右侧额顶叶占位脑膜瘤可能
图片尺寸3264x2448
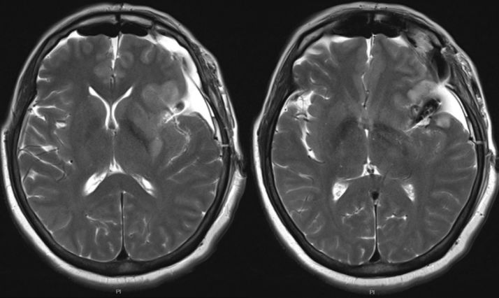
动脉瘤可能,行头颅cta提示为左侧大脑中动脉巨大动脉瘤,头颅dsa检查
图片尺寸714x426
松果体区脑膜瘤一例神经肿瘤系列十六浙二神外周刊第294期
图片尺寸492x393
右侧额顶叶占位脑膜瘤可能
图片尺寸3264x2448
病人"头痛-抽筋-昏迷",急诊科急而有序,立即ct检查,发现"脑出血".
图片尺寸2000x2666
我科右侧镰旁脑膜瘤手术病例 患者 女 47,头昏头痛2月,神经系统查体无
图片尺寸1199x1599
第2家医院继续治疗8天时间内,期间4次查头部ct示脑室逐渐再次扩张(图
图片尺寸710x468
门诊查头颅ct:右侧额部,大脑镰旁多发混杂密度影,考虑占位性病变
图片尺寸1600x1200
病史:女,1.5岁,外伤后ct检查发现颅内肿瘤.2019年04月16日颅内肿瘤r
图片尺寸1080x1096
术后ct-1.jpg
图片尺寸1036x1185
右侧枕顶叶占位
图片尺寸3264x2448
病史:女,1.5岁,外伤后ct检查发现颅内肿瘤.2019年04月16日颅内肿瘤r
图片尺寸1080x1073
医患携手,斩"瘤"除"魔"——宜昌市夷陵医院之颅脑肿瘤篇
图片尺寸871x457
三角区脑室巨大肿瘤 - 好大夫在线
图片尺寸4000x3000
头颅核磁增强扫描(轴位像)见肿瘤明显均匀强化,考虑诊断:右侧蝶骨嵴
图片尺寸2000x2379
完成三级医院技术项目,显微镜下脑内肿瘤手术切除术四例
图片尺寸4032x3024
关于"脑转移瘤"_脑转移瘤_脑转移瘤治疗方式 - 好大夫在线
图片尺寸1824x1368
右侧肢体无力检查后竟是恶性脑肿瘤
图片尺寸1000x1212
请各位帮忙疑似脑瘤尚未确诊作为止亲之人我却无法帮忙我很无用多谢
图片尺寸2448x3264