脑膜瘤

形形色色脑膜瘤_邢学民_副主任医师_爱问健康
图片尺寸665x814
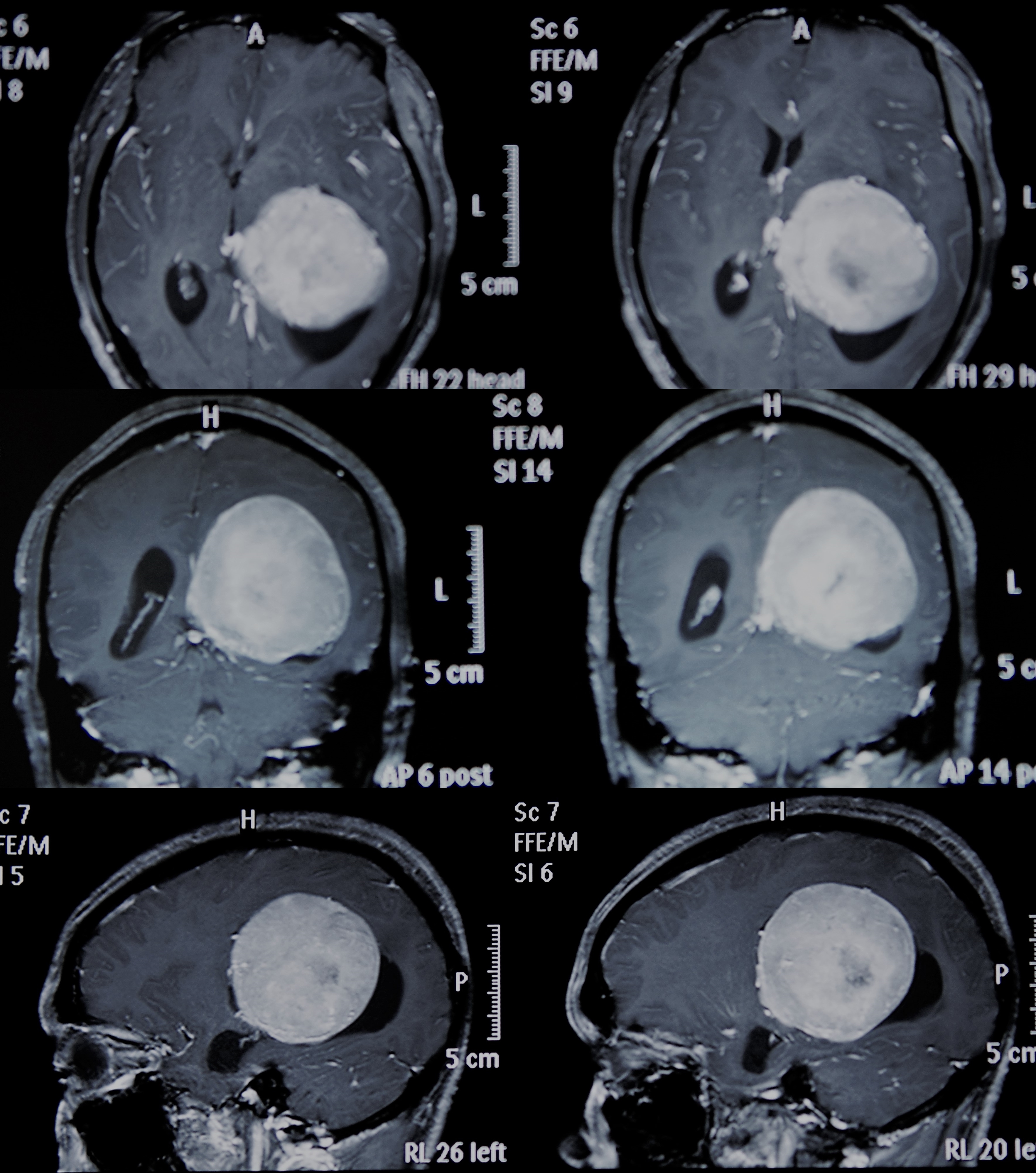
右侧顶叶窦镰旁脑膜瘤一例 - 神经外科专业讨论版 - 爱爱医医学论坛 -
图片尺寸2592x1944
右侧顶叶窦镰旁脑膜瘤一例 - 神经外科专业讨论版 - 爱爱医医学论坛
图片尺寸3264x2448
脑膜瘤常见症状有哪些,如何初步判断-搜狐大视野-搜狐新闻
图片尺寸600x330
病例分享−鞍旁脑膜瘤.女,50岁,患侧头痛十余年伴视力下降视 - 抖音
图片尺寸1920x1280
右侧额顶叶占位,脑膜瘤可能 - 神经外科专业讨论版 - 爱爱医医学论坛
图片尺寸3264x2448
62岁女子颅内竟藏巨大脑膜瘤!神经外科专家妙手摘除|肿瘤|手术|颅骨|
图片尺寸404x476
右额顶部巨大脑膜瘤切除 - 美篇
图片尺寸1340x1018
图文详解脑膜瘤特点与治疗_脑膜瘤_转移瘤_前庭神经鞘瘤_血管外皮细胞
图片尺寸614x366
侧脑室内脑膜瘤的手术策略
图片尺寸640x402
形形色色脑膜瘤 - 微医(挂号网)
图片尺寸3530x3998
nexus手术技巧丨第七十五期:左额顶开颅切除凸面脑膜瘤一例
图片尺寸348x398
一例幕上脑膜瘤的手术探讨 - 神经外科专业讨论版 - 爱爱医医学论坛
图片尺寸3264x2448
脑膜瘤钙化 - 丁香园论坛
图片尺寸3072x4096
右枕部镰旁脑膜瘤切除术一例报道 - 美篇
图片尺寸2000x2667
脑膜瘤科普:恶性脑膜瘤可能存在转移风险|手术|乳腺|胸膜|良性肿瘤_网
图片尺寸660x456
九八三医院神经外科不同部位脑膜瘤手术 - 美篇
图片尺寸2000x2164
右侧蝶骨嵴脑膜瘤 - 神经外科专业讨论版 - 爱爱医医学论坛
图片尺寸2592x1944
脑膜瘤-韩玉萍 - 美篇
图片尺寸2000x2666
大脑凸面脑膜瘤的并发症
图片尺寸500x385