脑血管堵塞ct图片

写美篇cta原始图 cta原始图 拟明日完善全脑血管造影评估
图片尺寸2000x2417
急诊颅脑ct显示:弥漫性蛛网膜下出血,颅底骨骨折,脑脊液耳漏,创伤性
图片尺寸1080x810
脑动脉急性栓塞的血管内取栓治疗 - 微医(挂号网)
图片尺寸3514x2969
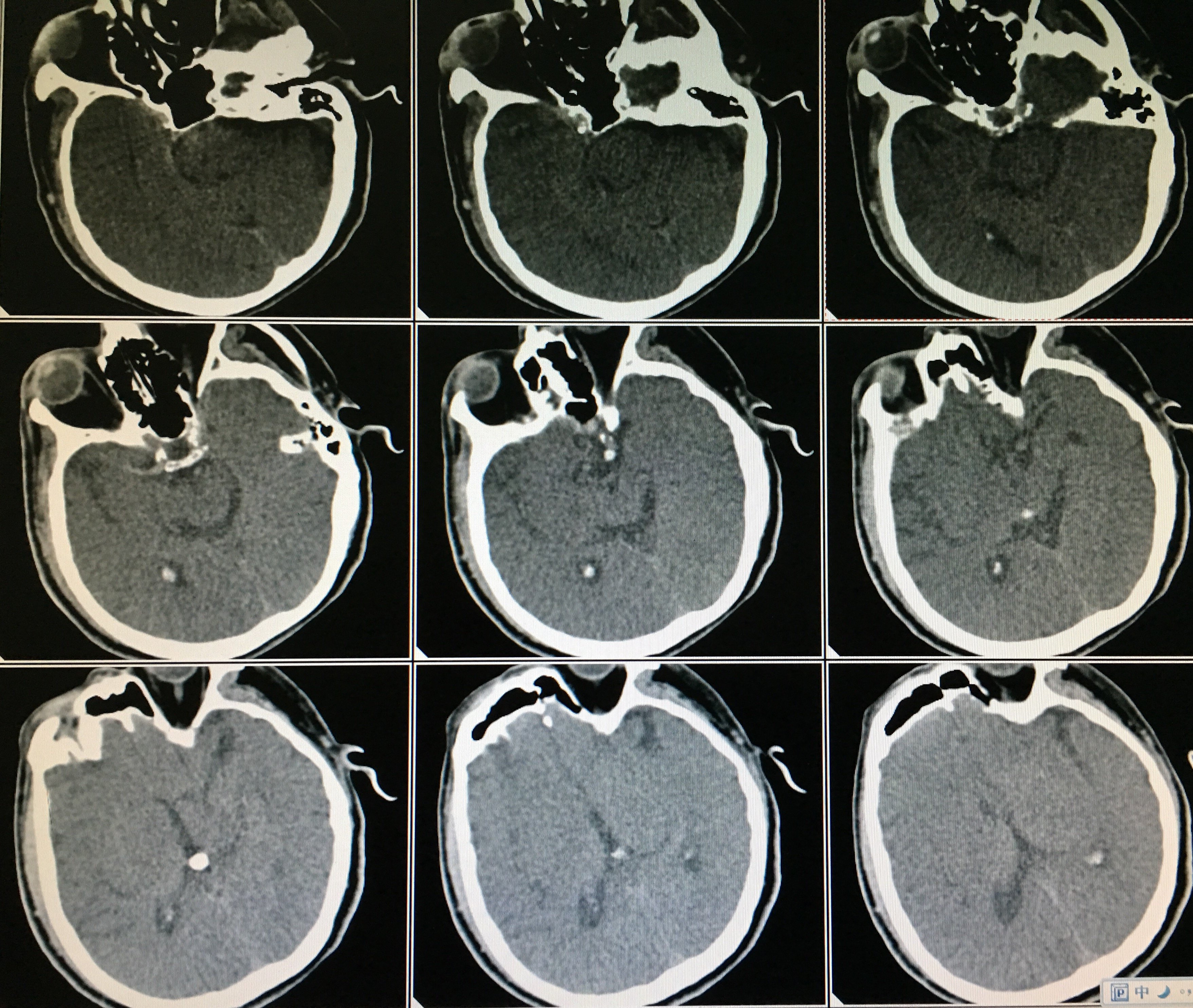
患者8天前无明显诱因突发头晕入院,头ct示:脑出血
图片尺寸2000x4000
神经影像大脑静脉栓塞的影像学征象
图片尺寸900x935
头ct平扫.jpg
图片尺寸2048x2048
其它 刘树芬,女,55岁,多发脑血管狭窄 写美篇2021.1.28我院颅内cta
图片尺寸2000x2667
双侧大脑前动脉栓塞
图片尺寸4032x3024
患者12.31ct
图片尺寸2000x2667
入院第二天ct
图片尺寸3104x4192
刘树芬,女,55岁,多发脑血管狭窄
图片尺寸2000x2667
神经外科十二月份脑血管病汇总
图片尺寸3022x4030
一例脑疝患者术后脑梗塞
图片尺寸2288x1712
丁军 男 52岁 06月8日头晕,复视起病.基底动脉狭窄.右侧桥脑区脑梗塞.
图片尺寸1200x1600
急性脑血管闭塞,6小时内抓住生命的绳索
图片尺寸640x505
左侧大脑中动脉闭塞
图片尺寸1844x2134
6 个病例学会「脑梗死」的 4 大 ct 征象
图片尺寸1080x1082
这是患者术前头部ct,排除脑出血.考虑急性脑梗塞.
图片尺寸828x1104
求看ct图 - 心血管专业讨论版 -丁香园论坛
图片尺寸2610x4640
次日复查ct未见明显异常.
图片尺寸2000x2667