脑血管CT

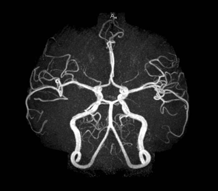
急诊脑血管cta检查提示:左侧椎动脉急性闭塞,血管内可见大量血栓形成
图片尺寸2000x2667
彩色多时相ct血管成像(colorviz mcta)在急性脑缺血性卒中患者中的
图片尺寸884x545
急性脑血管闭塞,6小时内抓住生命的绳索
图片尺寸640x505
ct影像,多为脑动脉瘤破裂出血血一一一一一神经血管外科赵千山主任
图片尺寸2000x2666
ct,核磁共振,脑血管造影,哪一个才是检查颅内动脉瘤的利器呢?
图片尺寸710x621
脑血管cta临床应用(1)
图片尺寸640x638
> 脑ct医保 医保脑ct2019年2月20日专业擅长:脑血管病(脑动脉供血不足
图片尺寸2078x2525
脑血管cta临床应用(2)
图片尺寸640x646
反复多部位脑出血脑淀粉样血管病
图片尺寸4160x2336
急诊ct:未见出血.考虑急性脑梗死,大血管病变.
图片尺寸3024x4032
ct影像,多为脑动脉瘤破裂出血血一一一一一神经血管外科赵千山主任
图片尺寸4032x3024
次日复查ct未见明显异常.
图片尺寸2000x2667
ct 脑图像正常的大脑 (脑血管 ct 扫描 (计算机断层扫描)大脑成像.
图片尺寸300x300
反复多部位脑出血脑淀粉样血管病
图片尺寸4160x2336
ct影像,多为脑动脉瘤破裂出血血一一一一一神经血管外科赵千山主任
图片尺寸2000x2666
ct影像,多为脑动脉瘤破裂出血血一一一一一神经血管外科赵千山主任
图片尺寸2000x2666
ct影像,多为脑动脉瘤破裂出血血一一一一一神经血管外科赵千山主任
图片尺寸4032x3024
"东方美女病"所致脑卒中行急诊血管内治疗
图片尺寸827x910
神内一急性脑梗死取栓病例随诊记录:神内一开展了脑血管造影,急性脑
图片尺寸4032x3024
日喀则市人民医院128层ct在ct血管造影(cta)方面的应用介绍
图片尺寸645x514