脑转移

脑转移瘤_介绍_症状表现_检查_治疗方式 - 好大夫在线
图片尺寸2733x3644
脑转移瘤的诊断与鉴别诊断
图片尺寸500x562
特泊替尼tepotinib治疗脑膜转移met阳性nsclc
图片尺寸558x338
肺癌脑膜转移险象环生,它究竟是如何被确诊的?
图片尺寸1080x943
脑室型颅内压术中监测应用于脑室移位的去骨瓣减压术一例
图片尺寸641x631
关于"脑转移瘤"_脑转移瘤_脑转移瘤治疗方式 - 好大夫在线
图片尺寸1824x1368
2015 年 nccn 脑转移瘤诊断治疗指南
图片尺寸450x372
【视频】脑转移瘤治疗概述,脑转移应该选哪种方案进行治疗?
图片尺寸480x300
关于"脑转移瘤"_脑转移瘤_脑转移瘤治疗方式 - 好大夫在线
图片尺寸1824x1368
病例分享妊娠合并肺大细胞神经内分泌癌脑转移一例神经肿瘤系神列八浙
图片尺寸1080x728
脑转移瘤放疗技术
图片尺寸640x480
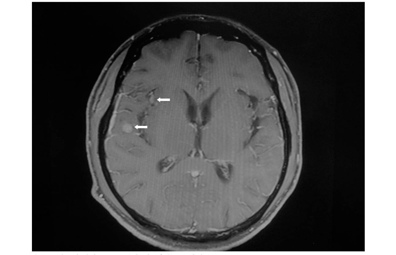
颅脑转移瘤mri特点(网络远程会诊病例)
图片尺寸600x377
肺癌晚期脑转移患者,全脑放疗or先用入脑靶向药?
图片尺寸632x766
科普恶性肿瘤脑转移怎么办神经外科微创手术有奇效
图片尺寸1290x831
中枢神经系统原发性和转移性肿瘤十二脑转移瘤
图片尺寸640x480
脑转移瘤mdt病例分享肺癌多发脑转移
图片尺寸1080x776
77岁老太突然不会说话了,竟然是肺癌脑里转移_脑转移瘤_脑转移瘤症状
图片尺寸2976x3968
患有脑转移瘤怎么办?
图片尺寸425x397
射波刀治疗肺癌脑转移病例分享
图片尺寸2000x2667
脑实质转移瘤,其他颅内转移瘤丨影像诊断要点
图片尺寸872x435