脑转移瘤CT

脑转移瘤_介绍_症状表现_检查_治疗方式 - 好大夫在线
图片尺寸2733x3644
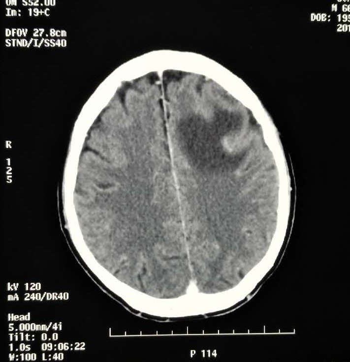
其它 脑转移瘤一例报道 写美篇 头部ct平扫示:右侧枕顶叶可见斑片状
图片尺寸1200x1600
关于"脑转移瘤"_脑转移瘤_脑转移瘤治疗方式 - 好大夫在线
图片尺寸1824x1368![[病例讨论] 脑转移瘤](https://imgs.wantubizhi.com/img/ADDA3C5D760C6828B77B505A29D43E8397A5AB71FDCF35C671BEF3FDE43BA1C918151D53EA3B4456FD0C810F61C16D5A94141DE165E053150269EBA0799AC04FEB9A5435D5210E0FC9C4D8862489CD071AAD10D9659711A2DEB6D58B075E0B24)
[病例讨论] 脑转移瘤
图片尺寸1600x1200
案例10脑转移瘤
图片尺寸1175x1068
发现肺癌两年,近两月头部不适,行ct检查:是否是脑转移?
图片尺寸1462x1705
手术切除脑转移瘤1例患者重获新生
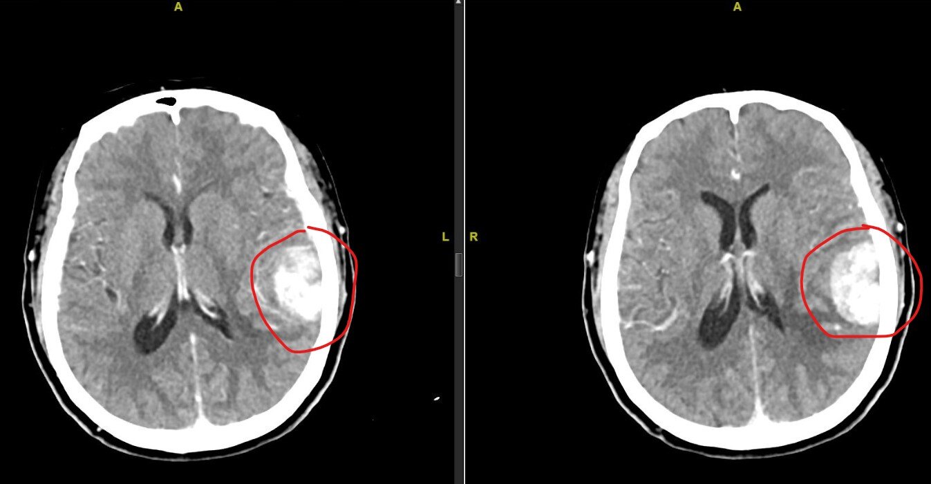
图片尺寸1347x700
关于"脑转移瘤"_脑转移瘤_脑转移瘤治疗方式 - 好大夫在线
图片尺寸1824x1368
图2 肺癌脑转移瘤ct影像 (50岁男性)
图片尺寸976x1385
患有脑转移瘤怎么办?
图片尺寸425x397
高度怀疑脑转移瘤-----大家有何观点
图片尺寸2448x3264
一例转移瘤手术分享
图片尺寸2200x1650
射波刀治疗脑内多发转移瘤的典型病例 - 好大夫在线
图片尺寸4192x2479
怎么办,我一个亲戚刚查出得了肺癌脑转移,还是晚期.
图片尺寸2592x1944
【影像讨论】肺癌多发脑转移,病人主诉症状轻.
图片尺寸4128x2322
脑部ct扫描显示有转移性肿瘤肿块
图片尺寸1200x800
脑转移瘤最需要了解的干货(1):诊断方法
图片尺寸711x736
右侧顶叶转移瘤,胶质瘤可能性大
图片尺寸2000x2667
转移瘤一例手术分享
图片尺寸2000x2667
右侧顶叶转移瘤,胶质瘤可能性大
图片尺寸2000x2667