脑MRI

正常大脑和萎缩的大脑,ct和mri检查图像脑萎缩的诊断,目前主要依靠ct
图片尺寸2400x1800
大脑mri矢状
图片尺寸980x1200
颅脑mri-t2
图片尺寸1199x928
汉阴县人民医院mri全新升级让科技关爱健康
图片尺寸1199x1199
颅脑mri检查序列及临床应用
图片尺寸640x516
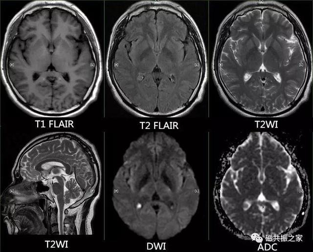
病毒性脑炎的mri诊断
图片尺寸769x576
头颅与脑部扫描的 mri 或磁共振图像照片
图片尺寸450x300
几分钟就扫完的头颅mri mra,是你想要的?_时间_序列
图片尺寸792x478
脑萎缩原本是在ct或mri检查时,发现脑组织体积减小和脑室扩大等而命名
图片尺寸422x282
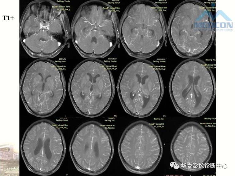
2020年9月头部mri增强
图片尺寸3024x4032
脑磁共振成像(mri),脑瘤
图片尺寸993x1200
患者复发后头部 mri〔2019 年8 月(44 岁)
图片尺寸2756x2929
头颅mri
图片尺寸2000x2667
脑磁共振成像(mri),脑瘤
图片尺寸999x1200
年 10 月 12 日转入 xx 人民医院,查头颅 mri 平扫 增强 mra:「脑白质
图片尺寸640x644
头部mri无新发脑梗死
图片尺寸1999x2665
头颅mri增强影像资料显示: 左侧颞顶部脑膜瘤伴相邻脑实质水肿,中线向
图片尺寸2000x2667
脑磁共振成像(mri),脑瘤
图片尺寸1091x1200
常见的危急值在mri上的表现_患者
图片尺寸800x971
头部mri(当地,3月3日)
图片尺寸2000x3556