脑ct图像

请教各位战友头颅ct示右侧颞顶枕均有大片低密度影但患者无明显定位
图片尺寸1440x2560
图-:2019年12月18日头部ct.png
图片尺寸710x468
轻微脑萎缩怎么办 轻微的脑萎缩能自愈吗
图片尺寸864x1152
下面是发病当时的颅脑ct
图片尺寸2791x1441
脑部ct
图片尺寸3456x2304
3月18日复查头颅ct
图片尺寸1920x2208![【读片】头痛2月,颅脑ct [病例帖]](https://imgs.wantubizhi.com/img/A1A61BAA66193547F3A6DD7D8EE527E9C60EBD84A416711F14040AC5E9B9638221B6D434C1204C29C91ADA2FF08BF9FBA8850DDAFAE3E7ADC54329560B87E27C968E2F48F6D9246432814FD7BE1E179E853B87450DB8368A84865AF82A8FAEDE)
【读片】头痛2月,颅脑ct [病例帖]
图片尺寸3072x2304
头ct平扫.jpg
图片尺寸2048x2048
头颅ct片
图片尺寸800x981
原创颅脑ct片帮忙看看
图片尺寸2637x2726
脑部,图像,ct检查,垂直画幅,神经系统
图片尺寸1008x1200
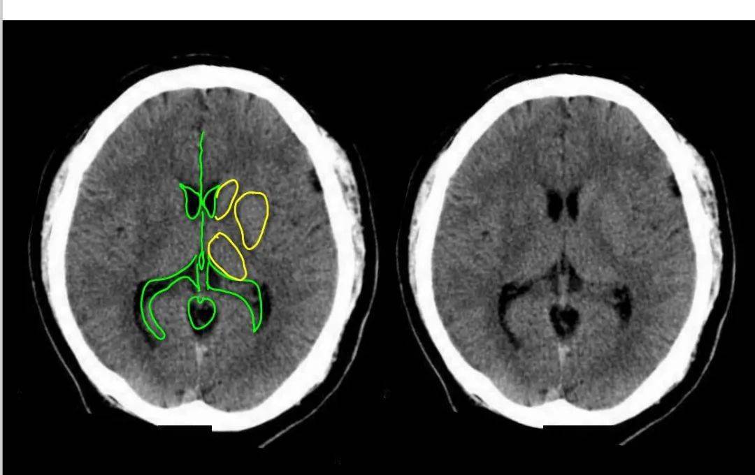
特征性异常脑影像荟萃95绘重置版ct篇
图片尺寸1080x680
脑部ct
图片尺寸3456x2304
术后复查ct情况.
图片尺寸4032x3024
ct提示左侧基底节,丘脑,颞叶,枕叶广泛性脑出血.
图片尺寸3024x4030
原创颅脑ct片帮忙看看
图片尺寸2399x2714
体检发现头颅ct局限脑萎缩
图片尺寸2501x1941
【讨论】脑部ct平扫加增强
图片尺寸1500x1500
复查ct可见脑室出血逐渐减少,中
图片尺寸2667x2000
紧急求助谁帮我看一下这个脑ct
图片尺寸3456x2304