脓气胸

脓气胸
图片尺寸220x165
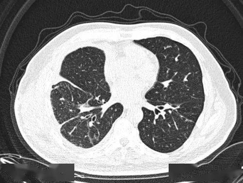
少动鞘氨醇单胞菌致脓气胸 1 例
图片尺寸461x292
市二院儿科应用持续胸腔闭式引流 尿激酶治疗小儿脓胸
图片尺寸640x475
一经确认脓气胸或者脓胸(床旁超声是比较好的选择)需要紧急进行胸腔闭
图片尺寸500x378
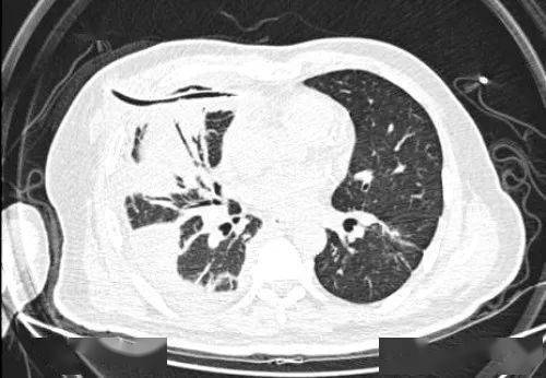
传染科和呼吸与危重症医学科合作,成功救治隐球菌肺炎致顽固性脓气胸
图片尺寸780x388
自发性气胸的临床表现
图片尺寸321x391
少动鞘氨醇单胞菌致脓气胸
图片尺寸481x663
传染科和呼吸与危重症医学科合作,成功救治隐球菌肺炎致顽固性脓气胸
图片尺寸780x388
少动鞘氨醇单胞菌致脓气胸
图片尺寸523x743
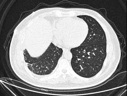
成功救治严重自发性液气胸1例
图片尺寸726x420
一经确认脓气胸或者脓胸(床旁超声是比较好的选择)需要紧急进行胸腔闭
图片尺寸500x377
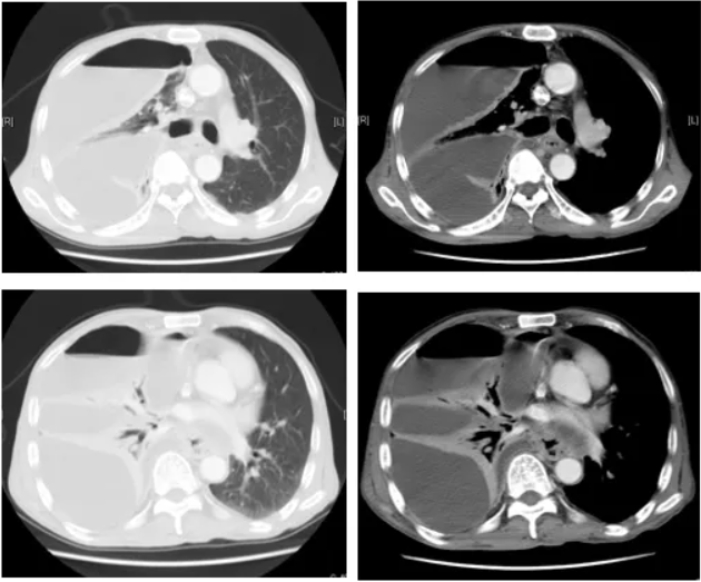
经过一个月的耐心治疗,急性脓气胸转变为慢性脓胸,胸膜纤维板形成
图片尺寸500x317
以脓气胸为首发症状的食管癌
图片尺寸630x523
经过一个月的耐心治疗,急性脓气胸转变为慢性脓胸,胸膜纤维板形成
图片尺寸500x346![嗜酸性细胞很高! [病例帖]](https://imgs.wantubizhi.com/img/ADDA3C5D760C6828B77B505A29D43E834DD3022D5A2F6D41BE7C0E1C31072C3CA6A71DB170D82BD0F8ACE1900330F8B2E19C9328E352788ED94656ABECDEAEC0C0F31CE136709A3F0FF88EC3F42A67AC434327995DA84603CA3BF5E3D88636F0)
嗜酸性细胞很高! [病例帖]
图片尺寸911x621
胸腔脓胸图17 图18陈旧性肺结核继发左侧包裹性脓气胸图19
图片尺寸561x407
若同时有脓液存在则称为脓气胸,二者病因与临床表现大同小异,故合并
图片尺寸451x280
脓气胸病例报道及文献复习ppt课件
图片尺寸920x690
写美篇一位肺脓肿近5月,脓气胸,气胸近4月的老年女性患者,经漫长至破
图片尺寸3648x1330
我院手术室里迎来一位特殊的危重患者,该患者患有右侧结核性脓气胸
图片尺寸1080x1440