脱矿牙齿照片

看图说话新解-牙齿表面脱矿形成白班的治疗 - 好大夫在线
图片尺寸1024x768
姐妹们 带牙套期间牙齿脱矿咋整(慎入)
图片尺寸634x402
牙齿脱矿是什么?
图片尺寸600x308
牙齿矫正会导致牙釉质脱矿?该怎么解决?
图片尺寸720x361
釉质脱矿釉质剥脱暴露牙本质早期脱矿早期 损不对称.
图片尺寸605x667
牙齿常见上的白点就是脱矿的白斑图片来源:站酷海洛
图片尺寸1000x666
脱矿究竟是怎么一回事(牙齿脱矿的原因及预防措施)(2)
图片尺寸638x328
下图牙齿上白色的就是牙釉质脱矿.
图片尺寸1019x1280
宝宝牙齿脱矿这两天掉了一小块好心塞啊
图片尺寸2048x1536
看图说话新解-牙齿表面脱矿形成白班的治疗 - 好大夫在线
图片尺寸780x520
碳酸饮料到底会对牙齿造成多大伤害?_脱矿
图片尺寸390x463
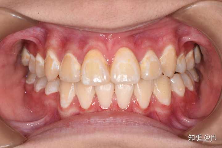
牙齿脱矿记录 - 知乎
图片尺寸1161x907
宝宝牙齿脱矿原来是这么回事
图片尺寸855x518
牙齿这样了怎么办
图片尺寸1600x1200
牙齿脱矿记录 - 知乎
图片尺寸1611x762
儿童脱矿的牙齿图片 儿童脱矿的牙齿能恢复吗?-图片大观-奇异网
图片尺寸1080x552
打牙钉,戴面具…中山一小孩矫牙4年竟落得严重脱矿?院方回应
图片尺寸650x434
牙齿脱矿真的没救了吗
图片尺寸1080x575
摘牙套后会留下印记吗就是一个一个小方块的样子
图片尺寸720x481
孩子一周岁有点轻微脱矿,去了市二院口腔科,说没问题让回家刷牙,等坏
图片尺寸1080x1440