脱髓鞘疾病

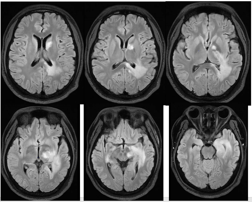
病例展示中枢神经系统脱髓鞘疾病是一组脑和脊髓以髓鞘破坏或髓鞘脱失
图片尺寸822x658
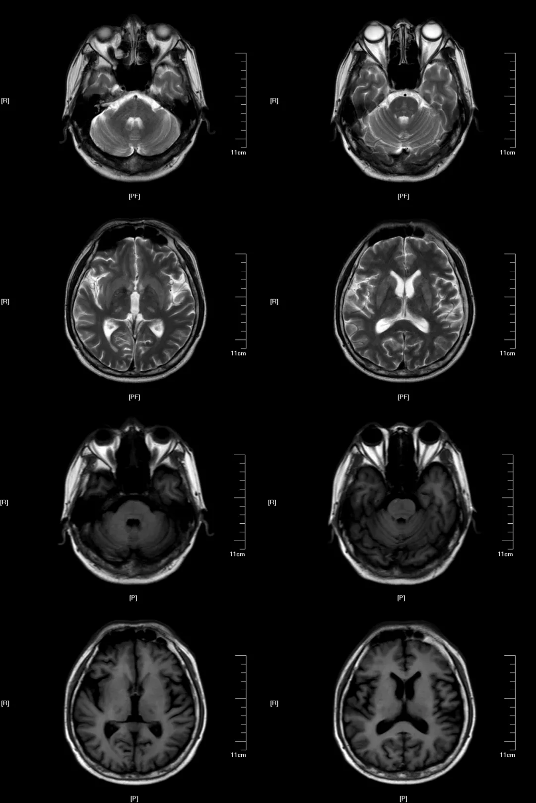
脑脱髓鞘疾病的影像诊断
图片尺寸960x720
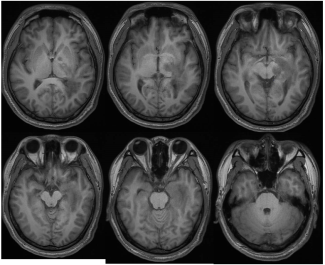
脑脱髓鞘疾病的影像诊断 | 影像天地
图片尺寸960x720
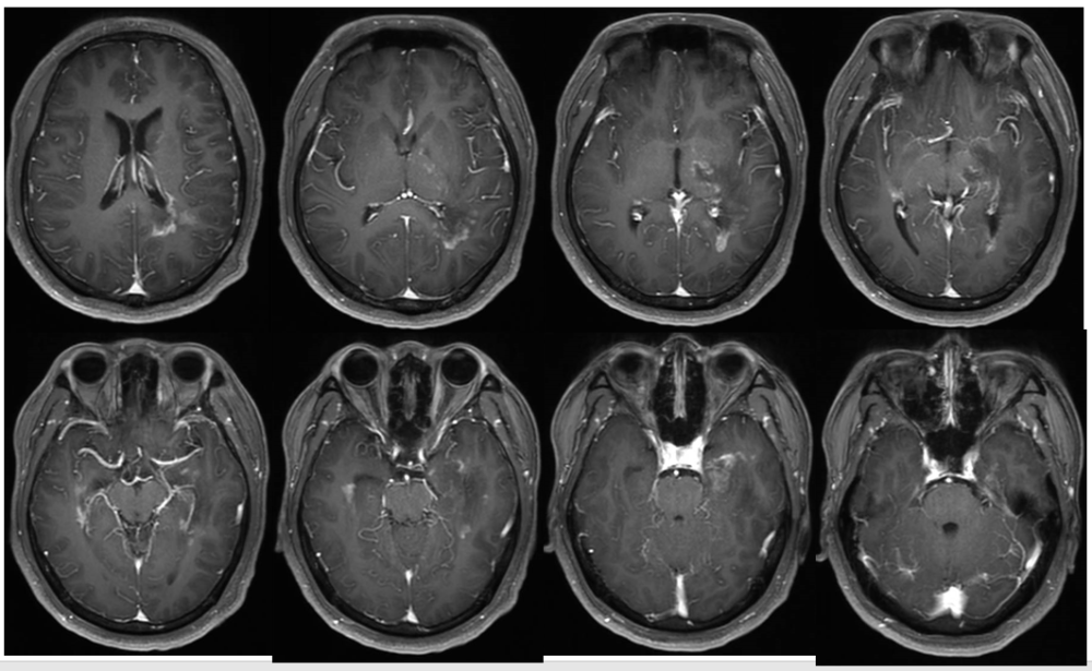
病例展示中枢神经系统脱髓鞘疾病是一
图片尺寸1000x615
脑脱髓鞘疾病的影像诊断
图片尺寸960x720
脑脱髓鞘疾病的影像诊断丨影像天地
图片尺寸960x720
病例展示中枢神经系统脱髓鞘疾病是一组脑和脊髓以髓鞘破坏或髓鞘脱失
图片尺寸641x523
脱髓鞘疾病董会卿2020观点 董会卿 著 临床医学生活 新华书店正版图
图片尺寸800x800
16张mri影像征,助你"征"服中枢神经系统脱髓鞘疾病丨实战读片
图片尺寸710x390
脱髓鞘病是什么呢?它会有怎样的症状呢?
图片尺寸460x304
第十一章 中枢神经系统 脱髓鞘疾病 demyelinating diseases of the
图片尺寸680x510
16张mri影像征,助你"征"服中枢神经系统脱髓鞘疾病丨实战读片
图片尺寸618x546
中枢神经系统脱髓鞘疾病ppt
图片尺寸1080x810
脱髓鞘疾病腔隙性脑梗死与血管周围间隙的鉴别诊断
图片尺寸640x480
疫苗均可引起脱髓鞘病变,提示本病可能为多种因素诱发的变态反应疾病
图片尺寸441x347
脱髓鞘疾病腔隙性脑梗死与血管周围间隙的鉴别诊断
图片尺寸640x480
桥脑和桥外渗透性脱髓鞘疾病及其影像解析
图片尺寸1080x1616
中枢神经系统瘤样脱髓鞘病变影像学特征
图片尺寸541x215
16张mri影像征,助你"征"服中枢神经系统脱髓鞘疾病丨实战读片
图片尺寸694x416
急性炎症性脱髓鞘性多发性神经病 acute inflammatory demyelinating
图片尺寸680x510