脾切迹

陕中附院中医谈健康常占杰之益脾养肝法治疗肝病
图片尺寸641x298
以上箭头所示为脾切迹.
图片尺寸710x564
上腹部ct断层肝脏解剖及肝段分布腹部淋巴结分布
图片尺寸640x481
胰腺背侧可见脾静脉切迹.
图片尺寸1655x1561
口水横流或源于脾弱
图片尺寸450x463
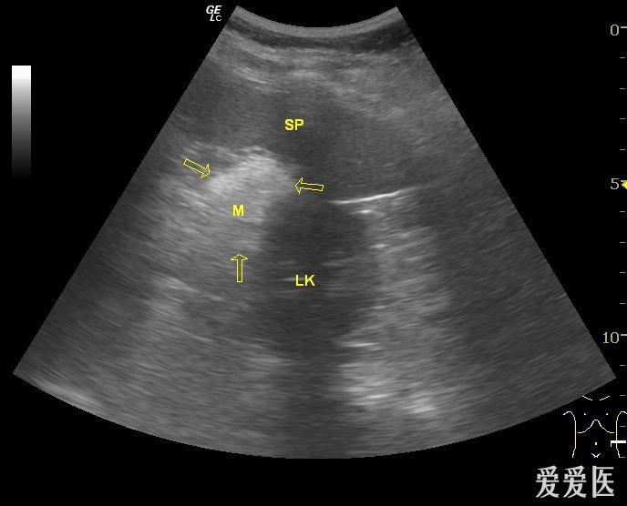
脾门处实质性占位,大家考虑什么?
图片尺寸688x556
医学课件脾脏的应用解剖以及脾切除术pptx
图片尺寸920x690
9 胰和脾人体解剖生理学.pdf
图片尺寸792x446
解剖学知识总结
图片尺寸720x540
北美洲大陆本部是脾脏,如下图:南亚次大陆则为肝脏下的胆囊,乌拉尔
图片尺寸640x410
左手向右牵拉胃底,右手向前轻拉脾.
图片尺寸458x285
脾切迹胸锁关节由锁骨的胸骨端关节面和胸骨柄的锁骨切迹组成
图片尺寸900x383
系统解剖学笔记霍琨老师板书
图片尺寸2386x1491
查:体温38.3℃,wbc:15×109/l,触诊左中上腹压痛,b超提示脾
图片尺寸970x1266
有一条沟,是神经,血管出入之处,称脾门,上缘前部有2-3个切迹,称脾切迹
图片尺寸500x333
梨怎么炒
图片尺寸600x338
上缘 superior border2.脾切迹 splenic notch3.
图片尺寸234x350