脾动脉瘤

脾动脉瘤的诊治
图片尺寸828x621
胰岛素瘤和脾动脉瘤位置为了让老人家彻底告别风险,普外科团队制定
图片尺寸1080x775
感谢医生救了我女儿的命常德一医脾动脉瘤破裂出血3000毫升患者治愈
图片尺寸974x588
脾动脉瘤——腹部的"定时炸弹"如何拆除?
图片尺寸411x308
典型脾脏动脉瘤三维重建
图片尺寸968x968
脾动脉瘤一例
图片尺寸1825x1654
实力附院附院专家成功完成腹腔镜下保脾的脾动脉瘤切除术
图片尺寸305x350
点赞!县中医院成功施行院内首例腹腔镜下脾动脉瘤切除 脾切除术
图片尺寸1024x744
男子脾动脉瘤破裂失掉全身三分之二血两次大换血捡回一条命
图片尺寸640x355
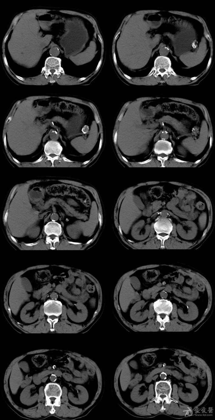
【病例】脾动脉瘤1例ct影像表现
图片尺寸736x896
脾动脉瘤一例
图片尺寸1985x1604
脾动脉瘤栓塞术(术者:赵渝)
图片尺寸1200x1600
ct强化扫描ct三维重建57岁的王先生(化名)查体发现脾动脉瘤,位于脾门
图片尺寸586x402
【共享】基层医院平扫经手术证实为脾动脉瘤一例.
图片尺寸709x1380
遵义行…脾动脉瘤介入治疗 术者 赵渝 陈宇龙 吴迪(遵义市一院)
图片尺寸750x1000
病例脾动脉瘤1例ct影像表现
图片尺寸640x640
脾动脉瘤一例
图片尺寸1906x1558
典型脾脏动脉瘤三维重建
图片尺寸968x968
脾动脉瘤介入治疗一例 - 好大夫在线
图片尺寸1080x1080
脾动脉瘤(saa)是指脾动脉的非正常扩张形成的动脉瘤疾病,是内脏动脉中
图片尺寸1080x508