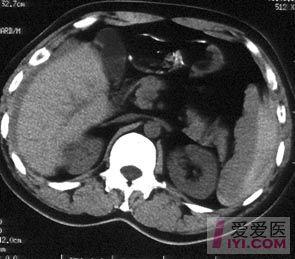
脾破裂CT

脾脏破裂,周围积血.
图片尺寸1784x1202
惊险12岁女童被摩托车撞伤脾破裂出血全身多处骨折生命垂危幸亏
图片尺寸371x282
市中心医院肝胆外科微创手术救治外伤脾破裂患者
图片尺寸809x589
迟发性脾破裂到底可以多迟? - 好大夫在线
图片尺寸1440x1080
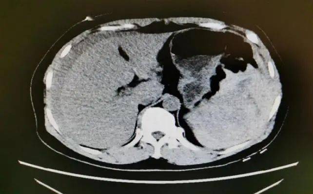
张阿姨腹部ct显示:脾脏破裂,腹腔积血.
图片尺寸642x398
中山一男子脾破裂,起因竟是这种常见的亲子游戏.
图片尺寸429x470
迟发性脾破裂到底可以多迟? - 好大夫在线
图片尺寸3024x4032
外伤4天复查,脾破裂
图片尺寸3016x4032
62岁患者因车祸致胸部外伤合并脾破裂创伤性休克
图片尺寸1984x1488
典型迟发性脾破裂如何治疗
图片尺寸1080x810
脾破裂是否手术
图片尺寸1706x1280
前来会诊肝胆胰外科的谢琴芬副主任医师急诊科马上联系了考虑脾破裂
图片尺寸470x406
外伤来势凶猛急救佑护生命嘉之慧医院急诊救治脾破裂患者
图片尺寸1018x831
可卡因引起的无创性脾破裂
图片尺寸641x618
包膜下破裂中央破裂完全性破裂分类脾破裂肾脏泌尿系统胰腺肝脏脾脏
图片尺寸1080x810
《脾破裂的ct诊断》ppt课件.ppt
图片尺寸800x600
原创经典ct图片脾破裂
图片尺寸295x259
【讨论】脾脏ct平扫 增强.
图片尺寸640x1119
a,脾破裂实质内血肿 b,脾包膜下血肿 c,脾挫裂伤 d,脾梗死 e,脾扭转
图片尺寸360x270
包膜下破裂中央破裂完全性破裂分类脾破裂肾脏泌尿系统胰腺肝脏脾脏
图片尺寸1080x810