脾血窦

脾血窦结构示意图
图片尺寸295x258
红髓主要由脾血窦和脾索组成,红髓内血流缓慢,能够使抗原与吞噬细胞
图片尺寸640x360
边缘区和红髓三部分;脾内无淋巴窦,但有大量的血窦(图9-18)脾为人体最
图片尺寸335x325
肺血窦
图片尺寸758x568
脾索与脾血窦模式图
图片尺寸438x318
脾窦(splenic sinus):血窦,内皮细胞为长杆状,细胞间有裂隙,基膜
图片尺寸893x314
脾的组织中有许多称为血窦的结构,平时一. 来自蓝莓医生 - 微博
图片尺寸690x793
人不发达;③动脉毛细血管,毛细血管末端的大部扩大成嗽叭状开放于脾索
图片尺寸330x453
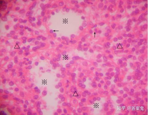
11脾脏(脾脏 he染色10×40) 脾脏的红髓结构包括脾索(△)和脾血窦(※)
图片尺寸487x378
病理学 08 消化系统疾病ppt
图片尺寸1080x810
脾脏破裂是原因!
图片尺寸350x306
红髓的主要功能是过滤和储存血液,由脾索及血窦组成,但因为其不含输入
图片尺寸300x260
中央静脉中央静脉位于肝小叶中央,是肝血窦在肝小叶中轴汇集成的一条
图片尺寸587x449
脾红髓 脾索,脾窦
图片尺寸1080x810
大鼠脾血窦扫描电镜像
图片尺寸294x225
脾的结构组成功能作用简介
图片尺寸300x178
脾脏窦岸细胞血管瘤影像诊断
图片尺寸1080x608
位于血循环通路上,有大量血窦,又是血循环系统的一部分.
图片尺寸450x712
病理学红蓝铅笔绘图166
图片尺寸1033x894
且假体腔更广泛地存在于器官组织的间隙,其中充满血液,被称为血窦
图片尺寸1000x564