腕关节正侧位片图片

腕关节正侧位右侧
图片尺寸1080x1439
腕关节正侧位(右侧)
图片尺寸960x1280
正常腕关节
图片尺寸1242x1863
腕关节正侧位片-46
图片尺寸640x480
右腕关节x线平片和侧位片
图片尺寸1200x793
蒙医整骨术后复查尺桡骨正侧位片,复位良好,左上肢末端血运及活动正常
图片尺寸1334x1000
腕关节侧位
图片尺寸476x313
手腕关节的x线. 正常的. 否定.
图片尺寸700x559
成人腕关节外伤x线诊断
图片尺寸960x720
入院左腕正位片
图片尺寸2000x2667
右腕关节疼痛3月
图片尺寸2500x2048
拍片示:右桡骨远端粉碎性骨折,关节面不平.
图片尺寸1200x1600
大家看看这例腕关节x片
图片尺寸3028x2311
伤后查腕关节正侧位片
图片尺寸1080x1080
图文伙伴计划 腕关节正侧位解剖#解剖 #x线 #医学影像 - 抖音
图片尺寸1080x737
伤后就在某医院就诊,效不佳,46天后来我院就诊,症状主要是:腕关节疼痛
图片尺寸2000x2667
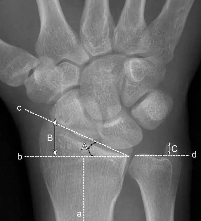
腕关节x线解剖测量与征象分析ppt课件ppt
图片尺寸800x600
腕关节正位
图片尺寸436x347
腕关节x线阅片及技巧
图片尺寸640x703
tfcc|腕关节|扭伤|疼痛|微创|-健康界
图片尺寸1080x808