腮腺造影

左腮腺造影侧位,主导管自腮腺导管口斜向后下方,越过下颌升支,逐级
图片尺寸1240x903
腮腺造影表现
图片尺寸1096x741
左腮腺导管阴性结石,腮腺造影可见主导管内造影剂充盈缺损,主导管明显
图片尺寸980x730
涎腺造影数字化曲面体层片涎腺造影数字化曲面体层片
图片尺寸2828x1376
慢性腮腺炎
图片尺寸268x267
腮腺造影正位片
图片尺寸600x424
图12-1 儿童复发性腮腺炎腮腺造影表现核素检查显示双侧腮腺摄取功能
图片尺寸900x759
腮腺肿物
图片尺寸2560x1920
腮腺造影与投照技术
图片尺寸479x294
正常腮腺ct轴状位
图片尺寸763x795
腮腺肿物
图片尺寸2560x1920
「缺水」的腮腺:干燥综合征
图片尺寸640x308
腮腺肿物
图片尺寸2560x1920
腮腺病变的影像诊断与分析思路影像天地
图片尺寸640x480
通过测量放射性造影剂从腮腺和颌下腺中排出的速度和量来评估腺体排出
图片尺寸599x371
腮腺混合瘤
图片尺寸512x512
读片:腮腺ct平扫病例
图片尺寸1035x853
腮腺ct
图片尺寸1137x863
干燥综合征的诊治进展刘湘源
图片尺寸629x479
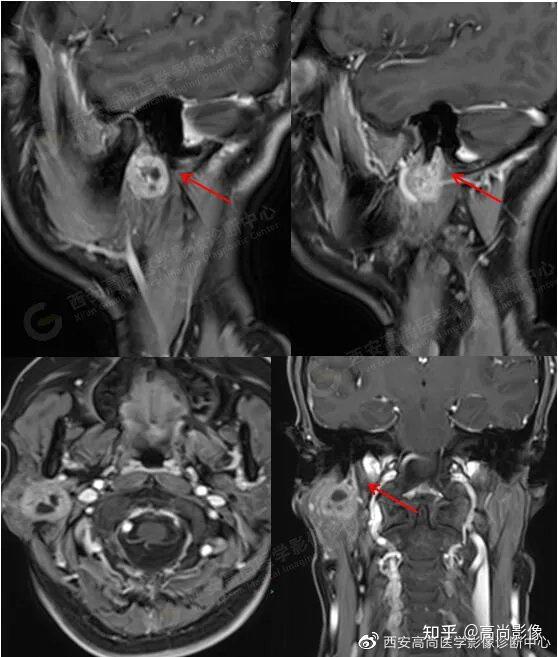
西安高尚医学影像病例腮腺区面神经鞘瘤
图片尺寸558x657