腮腺ct

腮腺区常见病变的ct鉴别诊断影像天地
图片尺寸960x720
腮腺疾病的ct诊断与鉴别诊断ppt
图片尺寸1080x810
腮腺增强ct显示左侧腮腺肿瘤位置
图片尺寸2000x2667
双侧腮腺肿物ct(冠位 矢状位)
图片尺寸1839x1839
ct表现61腮腺是脂肪性腺体,密度低于肌肉而高于脂肪组织,其密度决定
图片尺寸1080x1200
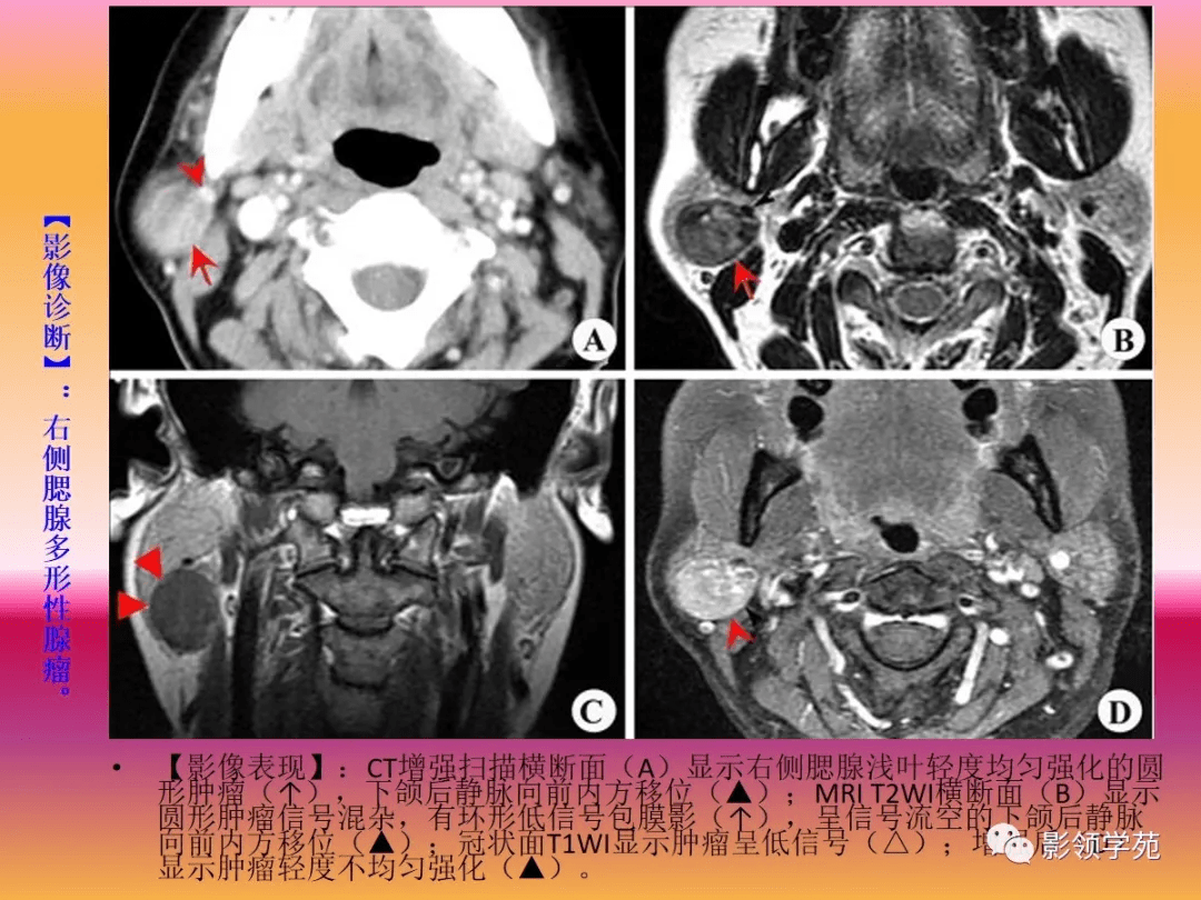
右侧腮腺混合瘤-ct病例影像诊断
图片尺寸600x701
腮腺疾病的ct诊断与鉴别诊断
图片尺寸1080x810
腮腺区常见病变的ct鉴别诊断影像天地
图片尺寸960x720
腮腺疾病的ct诊断与鉴别诊断
图片尺寸1080x810
腮腺疾病的ct诊断与鉴别诊断
图片尺寸1080x810
双侧腮腺肿物ct(冠位 矢状位)
图片尺寸1945x1945
双侧腮腺肿物ct(冠位 矢状位)
图片尺寸1945x1945
腮腺疾病的ct诊断与鉴别诊断
图片尺寸1080x810
双侧腮腺肿物ct(冠位 矢状位)
图片尺寸1945x1945
腮腺疾病的ct诊断与鉴别诊断
图片尺寸1080x810
双侧腮腺肿物ct(冠位 矢状位)
图片尺寸1945x1945
左腮腺多形性腺瘤,ct轴位可见左腮腺软组织肿物影,圆形,边界光滑,内部
图片尺寸1151x847
腮腺区常见病变的ct鉴别诊断影像天地
图片尺寸960x720
双侧腮腺肿物ct(冠位 矢状位)
图片尺寸1945x1945
双侧腮腺肿物ct(冠位 矢状位)
图片尺寸1945x1945