腹部CT解剖

ct入门 | 腹部ct应用入门必备(原理 精美解剖图谱)
图片尺寸1080x810
点滴积累,成就影像专家.腹部ct断面解剖
图片尺寸960x720
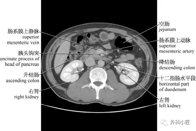
正常腹部ct解剖 胰头层面(增强)
图片尺寸1080x810
ct入门 | 腹部ct应用入门必备(原理 精美解剖图谱)
图片尺寸1080x810
影像解剖腹部ct断层解剖图谱(app).#热点 #ct#医学 - 抖音
图片尺寸1920x2560
46组对比图带你完全掌握腹部影像解剖_医学界-助力医生临床决策和职业
图片尺寸640x429
腹部ct入门解剖图谱收藏版
图片尺寸598x801
腹部影像解剖【放射科】 ppt课件
图片尺寸1080x810
医影师华哥小课医影师华哥小课高清腹部ct解剖图医影师华哥小课高清
图片尺寸640x808
分享一个腹部ct解剖,希望能对大家有帮助
图片尺寸580x386
腹部ct解剖
图片尺寸1080x810
ct入门 | 腹部ct应用入门必备(原理 精美解剖图谱)
图片尺寸1080x810
ct入门 | 腹部ct应用入门必备(原理 精美解剖图谱)
图片尺寸1080x810
「腹部ct断层解剖」腹部ct扫描横断位解剖 详细标注,值得收藏
图片尺寸639x876
ct入门 | 腹部ct应用入门必备(原理 精美解剖图谱)
图片尺寸1080x810
「高清解剖」腹部ct影像学解剖图谱(肝脏分叶分段)
图片尺寸1061x792
读懂腹部ct解剖,只花1小时
图片尺寸960x720
1小时读懂腹部ct
图片尺寸960x720
腹部ct正常解剖ppt
图片尺寸1080x810
ct入门 | 腹部ct应用入门必备(原理 精美解剖图谱)
图片尺寸1080x810