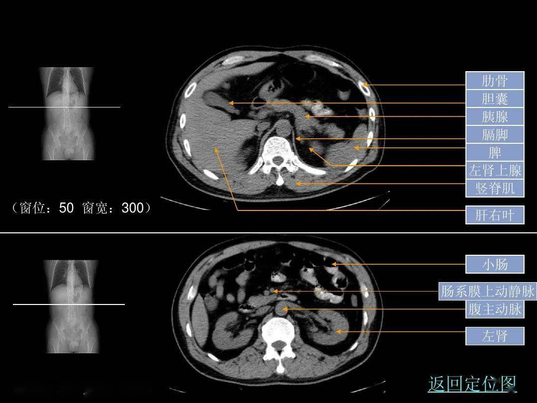
腹部ct断层解剖图谱ppt

超细的腹部ct应用入门必备手册(原理 精美解剖图谱)
图片尺寸1080x810
腹部断层解剖和断层ct(精品)ppt
图片尺寸1080x810
腹部ct解剖
图片尺寸1080x810
「腹部ct断层解剖」腹部ct扫描横断位解剖 详细标注,值得收藏
图片尺寸614x802
超细的腹部ct应用入门必备手册原理精美解剖图谱
图片尺寸1080x810
「腹部ct断层解剖」腹部ct扫描横断位解剖 详细标注,值得收藏
图片尺寸639x876
超细的腹部ct应用入门必备手册(原理 精美解剖图谱)
图片尺寸1080x810
「腹部ct断层解剖」腹部ct扫描横断位解剖 详细标注,值得收藏
图片尺寸637x846
「腹部ct断层解剖」腹部ct扫描横断位解剖 详细标注,值得收藏
图片尺寸640x800
腹部经典层面解剖ppt
图片尺寸1080x810
分享一个腹部ct解剖,希望能对大家有帮助
图片尺寸580x386
正常腹部ct解剖 胰头层面(增强)
图片尺寸1080x810
腹部ct_断层解剖结构ppt
图片尺寸1080x810
腹部断层解剖和断层ct(精品)ppt
图片尺寸1080x810
腹部ct入门解剖图谱收藏版
图片尺寸1080x810
腹部ct_断层解剖结构ppt
图片尺寸1080x810
上腹部ct平扫&增强病例断层解读
图片尺寸649x570![腹部断层解剖图谱 [精华]](https://imgs.wantubizhi.com/img/A1A61BAA66193547F3A6DD7D8EE527E95A74C7DBBE842724FAEF0446BBA7A0995D0480DC4614DD7E2AE8ED2AAB10D932340D2785D9319D20F8D14E24256B5407A47102C69E158B4A9E8627DAE66DE727824894FD64D6DDE8931ABF186B0B3BC8)
腹部断层解剖图谱 [精华]
图片尺寸640x498
上腹部ct平扫&增强病例断层解读
图片尺寸720x591
超细的腹部ct应用入门必备手册(原理 精美解剖图谱)
图片尺寸1080x810