腺样体ct

腺样体肥大,你怕不怕?
图片尺寸512x368
腺样体肥大
图片尺寸979x577
请大家帮忙分析一下腺样体肥大的影像表现,有没有正常的图片 - 影像
图片尺寸2732x2048
腺样体肥大影像表现及诊断标准,高清多图!
图片尺寸640x368
儿子长期鼻塞,半夜睡觉总会憋醒好几次,去医院ct检查,腺样体 - 抖音
图片尺寸1440x1920
求助各位同仁这位5岁男孩鼻子中的灰白色肿物是肿瘤还是腺样体肿大
图片尺寸3005x3569
儿童腺样体肥大x线图解,超实用!#医学影像 #放射科 #干货 - 抖音
图片尺寸1440x1490
ct,mri的测量方式同x线平片儿童腺样体肥大依据断层影像表现分为3 型
图片尺寸640x437
学 br>有的时候怀疑腺样体肥大,又做不了窥镜的时候,真的不妨做个ct
图片尺寸1080x984
火遍全网的腺样体肥大,家长最纠结的是要不要手术
图片尺寸1080x1920
腺样体肥大
图片尺寸4208x3120
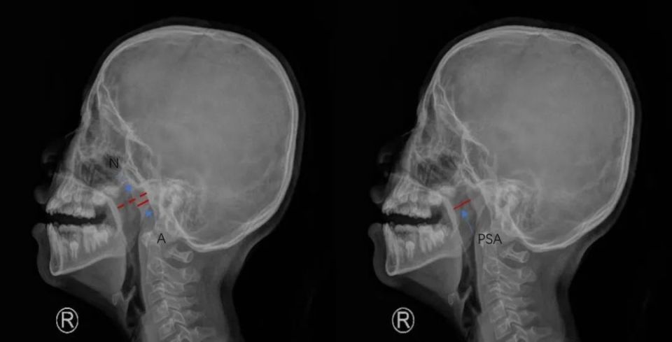
5mmct和mri也可以用于腺样体肥大的评估,ct和mri能够多方位显示腺样体
图片尺寸960x489
深度解析丨儿童腺样体肥大影像表现及诊断标准
图片尺寸640x524
腺样体肥大影像表现及诊断标准,高清多图!
图片尺寸640x544
我三岁儿子,腺样体肥大,拍了ct,请有经验的医生和未来的好大夫,帮我
图片尺寸1052x592
各位老师好,我是干骨科的,小儿今年6岁患腺样体肥大2年多,平时睡觉还
图片尺寸2400x3200
深度解析丨儿童腺样体肥大影像表现及诊断标准
图片尺寸640x438
腺样体肥大影像表现及诊断标准,高清多图!
图片尺寸640x337
腺样体堵塞程度,三次影像
图片尺寸1080x1440
儿童腺样体肥大影像表现及诊断标准
图片尺寸1080x817