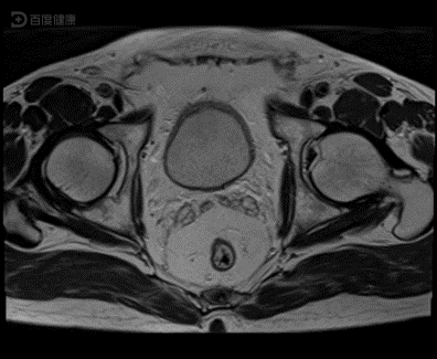
膀胱原位癌

膀胱原位癌,了解一下
图片尺寸1060x1417
膀胱原位癌恶性程度高,日常需警惕
图片尺寸660x495
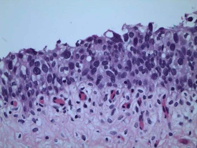
膀胱原位癌不可怕,采用手术治疗后病痛远离
图片尺寸936x498
查出膀胱原位癌不要怕,手术切除来治疗
图片尺寸977x456
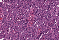
大爷不幸确诊为膀胱原位癌,电切术后好转
图片尺寸396x325
患有膀胱原位癌不恐慌,积极手术保健康
图片尺寸200x138
认识膀胱癌
图片尺寸1920x1080
膀胱癌:研究人员发现了一种可以改善铂类癌症治疗的机制
图片尺寸480x800
膀胱癌市场是不是个伪市场
图片尺寸800x372
广州新市医院肿瘤科三区张俊杰主任教您读懂:膀胱癌的预警信号,从早筛
图片尺寸3573x2000
膀胱癌一般向膀胱腔内生长,刚开始扎根不深,我们可以通过电切手术把长
图片尺寸1883x1280
膀胱癌的死亡率有多高
图片尺寸1242x1660
膀胱里有占位就一定是恶性肿瘤吗
图片尺寸1241x2207
55岁膀胱癌多处转移还腹腔积液,抗癌5年多亏了新疗法治愈
图片尺寸800x450
膀胱癌的发病原因尚未完全明确,可能与遗传因素,环境因素,饮食因素等
图片尺寸1242x1660
尿频尿急,并伴有无痛性肉眼血尿,确诊为膀胱原位癌
图片尺寸1016x870
汪磊医生的科普随笔 之 膀胱癌
图片尺寸1707x1280
膀胱原位癌
图片尺寸540x960
52岁男子患膀胱癌,因他有两种坏习惯,出现了局部转移的迹象
图片尺寸829x521
膀胱癌#
图片尺寸690x920