膀胱肿瘤ct

膀胱肿瘤病例分享
图片尺寸1200x1600
【病例】膀胱癌1例ct影像表现
图片尺寸512x512
刘女士盆腔增强ct(红圈内灰色部分均为膀胱肿瘤)
图片尺寸1000x1000
图9 通常,影像学检查如ct或超声检查对诊断膀胱恶心肿瘤缺乏
图片尺寸645x439
术前膀胱肿瘤增强ct表现
图片尺寸1600x1200
可显示肿瘤对膀胱壁浸润深度和范围,盆腔脏器与肿瘤的关系,但与ct相比
图片尺寸506x512
【原创】膀胱癌并左输尿管下端受侵ct图片
图片尺寸512x512
出现无痛性肉眼血尿,最后竟查出膀胱肿瘤!
图片尺寸640x575
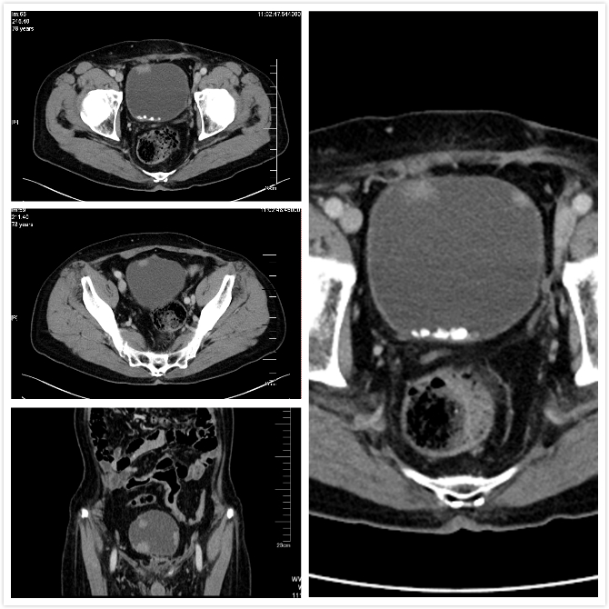
患者ct影像提示膀胱肿瘤浸润膀胱全层并向外生长,分期t3以上,似乎确有
图片尺寸1451x901
我的膀胱肿瘤日记三
图片尺寸3000x3550
【ppt】膀胱疾病的影像学诊断
图片尺寸1080x675
ct检查显示,患者膀胱前壁有一个鸡蛋大小肿块.医院 供图
图片尺寸1389x969
该患者系膀胱恶性肿瘤术后3年复发,超声及ct检查后发现膀胱内多发占位
图片尺寸670x670
病例讨论一例膀胱癌的诊治
图片尺寸2179x1454
ctu1.jpg
图片尺寸720x540
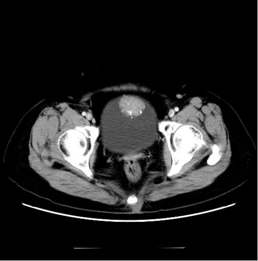
术前ct见膀胱左侧壁占位.
图片尺寸457x610
1.2o19年3月全腹平扫 增强ct,膀胱部分片3
图片尺寸2000x2667
1月20日增强ctu ,膀胱部分片2
图片尺寸2000x2667
膀胱癌术后复发
图片尺寸2664x4000
腺性膀胱炎与膀胱尿路上皮癌丨ct鉴别诊断科室交流学习资料内容由研究
图片尺寸960x720