膀胱超声

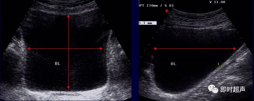
膀胱正常结构超声图像特点:适度充盈的膀胱在声像图中是一个囊状结构
图片尺寸620x401
膀胱内多枚点状强回声,是否是尿液较浓,尿中结晶?
图片尺寸768x576
膀胱输尿管解剖及超声表现 | 临床必备
图片尺寸893x407
膀胱占位 - 超声医学讨论版 - 爱爱医医学论坛
图片尺寸720x540
膀胱解剖#超声影像 - 抖音
图片尺寸1284x2778
膀胱内病变 - 超声医学讨论版 -丁香园论坛
图片尺寸1280x960
麻烦各位老师帮忙看一下这个膀胱 - 超声医学讨论版 - 爱爱医医学论坛
图片尺寸4032x3024
常见膀胱病变的超声表现多图详解
图片尺寸1080x810
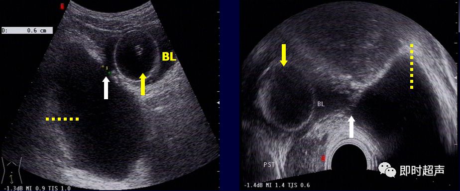
膀胱超声解剖及常见病变超声表现
图片尺寸840x334
膀胱超声解剖及常见病变超声表现
图片尺寸853x348
膀胱充盈良好,我觉得找结石的话有点过了
图片尺寸583x481
不开刀治疗膀胱结石就是好!康复专家热线张主任0533-8262241.
图片尺寸2667x2000
【请教】膀胱异常回声,考虑什么 - 超声医学讨论版 -丁香园论坛
图片尺寸4208x2368
膀胱图片 - 超声医学讨论版 - 爱爱医医学论坛 - 爱爱医医学网
图片尺寸1024x768
膀胱结石
图片尺寸1080x779
膀胱超声解剖及常见病变超声表现
图片尺寸924x385
【文摘翻译】膀胱超声检查
图片尺寸532x539
膀胱条状高回声 - 超声医学讨论版 -丁香园论坛
图片尺寸754x1008
医学超声影像学膀胱超声ppt
图片尺寸860x645
【贴图】经典膀胱破裂请欣赏 - 超声医学讨论版 - 爱爱医医学论坛
图片尺寸624x468