膀胱钢珠

石河子市人民医院成功为男子取出膀胱内43粒磁性钢珠
图片尺寸1080x608
虞漫钛钢膀胱胶囊珠子 男士入珠 无孔珠 尿道钢珠 滑进滑出 4毫米一个
图片尺寸800x800
膀胱异物
图片尺寸1080x1440
【 传统拍打零基础教学:如何拍膀胱 】 膀胱位于下腹前部中央,骨盆内
图片尺寸1443x1280
钛钢防过敏 pa环穿刺饰品尿道堵 新品pa短杆 男士pa漏尿堵4.0到10
图片尺寸300x300
玩具胶囊珠子膀胱尿道球形钢珠钛钢
图片尺寸1080x1080
钛钢无孔珠子膀胱胶囊珠 pa尿道球形玩具 男用茎珠小钢珠穿刺
图片尺寸300x300
近年来,接诊过的尿道膀胱异物患者不在少数.
图片尺寸580x772
膀胱内长泡泡,怎么办?_澎湃号·湃客_澎湃新闻-the paper
图片尺寸4022x2268
钛钢膀胱胶囊 两圆头 尿道刺激开发 子弹头膀胱精灵终极爽pa胶囊
图片尺寸1080x1440
2010年,膀胱癌术后因肝功问题他没化疗,一年后又重新做起了生意
图片尺寸660x879
11岁年还把70颗钢珠塞进尿道中,看着都疼,网友:是个狼人!
图片尺寸360x480
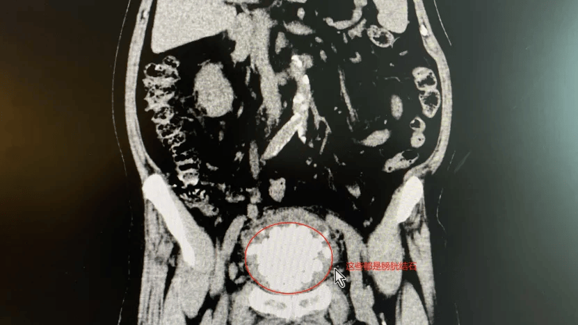
"掏到手酸"!广东祈福医院为87岁老人膀胱取出近300颗结石
图片尺寸831x468
器官解剖之膀胱
图片尺寸1920x2560
01膀胱异物,顾名思义,就是膀胱里出现除了尿以外的其他东西,钢珠,钢
图片尺寸1080x1440
同志用品尿道拉珠不锈钢火弧尿道堵男用尿道刺激器具sm性用品
图片尺寸400x399
男子膀胱取出5厘米蒜苔!
图片尺寸700x5625
肌层浸润性膀胱癌治疗体会
图片尺寸409x749
46岁男子膀胱取出5厘米长的蒜苔!
图片尺寸308x189
经检查竟在其膀胱及后尿道发现17颗磁力钢珠,江西省儿童医院泌尿外科
图片尺寸690x665