膈顶

吸气时:膈肌收缩,膈顶部下降,胸 廓的上下径增大
图片尺寸1080x810
隔顶是怎么变的 弄不懂啊
图片尺寸480x596
内蒙古鄂尔多斯市达拉特旗七年级生物下册432发生在肺内
图片尺寸800x600
膈肌,膈顶分别在哪里?
图片尺寸854x640
收缩 肋骨向上, 向外移动 胸廓前后径, 左右径增大 膈肌收缩 膈顶下降
图片尺寸1080x810
生理学5.ppt
图片尺寸1080x810
生物:第3章人体的呼吸复习课件(人教版七年级下)答案ppt
图片尺寸1080x810
分析呼吸肌与胸廓容积(上下径) 胸廓 气管 支气管 肺 膈肌 膈顶上升
图片尺寸1080x810
(膈的位置)(4)通"槅",大车轭.
图片尺寸1080x607
呼吸道和肺的功能
图片尺寸1080x810
肺胸膜与纵膈ppt课件
图片尺寸920x690
膈肌,为向上膨隆呈穹隆形的扁薄阔肌,位于胸腹腔之间,成为胸腔的底和
图片尺寸640x443
收缩时膈顶下降,协助吸气作用;舒张时膈顶恢复原位,协助呼气作用.
图片尺寸590x384
当人体吸气时,膈肌和肋间肌收缩,胸廓扩张,膈顶下降,胸腔内负压减小
图片尺寸333x316
肺段ppt
图片尺寸1080x810
经常打嗝的人一定要注意这些|胃疼|膈肌|痉挛_网易订阅
图片尺寸554x361
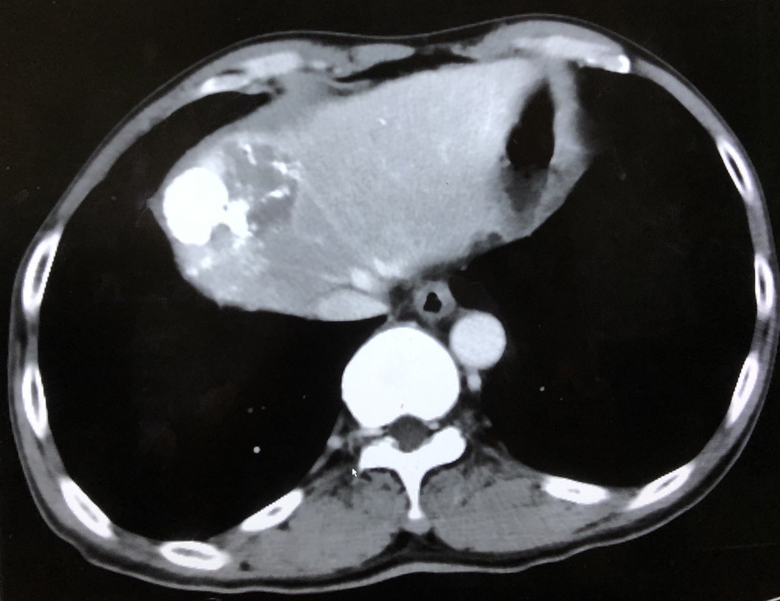
第8胸椎体,三腔心,右膈顶的层面
图片尺寸1080x810
胸膜腔:脏胸膜与壁胸膜之间围成的潜在间隙壁胸膜包括:膈胸膜,纵隔
图片尺寸396x600
ppt腹部横切面断层示意图-解剖图片肝脏,膈顶层面女性轴位断层标本(1)
图片尺寸800x600
氩氦刀冷冻消融治疗膈顶肝癌案例分享 - 好大夫在线
图片尺寸1608x1240