舌侧丝保持器图片

舌侧丝保持器和隐形保持器在佩戴时要注意哪些方面_进行_牙齿_调整
图片尺寸530x351
舌侧保持器
图片尺寸1799x1199
舌侧保持器.jpg
图片尺寸682x246
舌侧固定保持器
图片尺寸1350x900
舌侧保持器
图片尺寸1799x1199
3d打印舌侧保持器-矫正器-云南家红齿科技术股份有限公司
图片尺寸1444x964
舌侧丝保持器照片
图片尺寸480x300
3d打印舌侧保持器-矫正器-云南家红齿科技术股份有限公司
图片尺寸1444x964
正畸舌侧保持器正畸舌侧保持片牙科舌侧保持 牙科舌侧保持器10根
图片尺寸500x500
舌侧保持器价格别说我没告诉你
图片尺寸1240x898
保持器美观度更高,几乎完全隐形;不需要自行取戴,比较方便;舌侧丝一旦
图片尺寸1125x633
舌侧丝保持器
图片尺寸430x325
牙齿矫正保持器戴多长时间透明哈雷和舌侧保持器哪个好
图片尺寸600x325
舌侧保持器
图片尺寸757x757
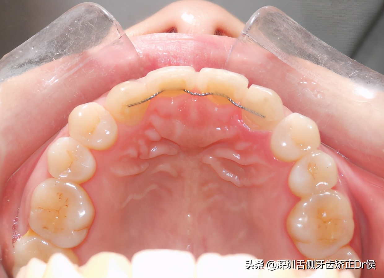
深圳牙齿矫正科普舌侧保持器是怎么戴上去的
图片尺寸2038x1274
舌侧固定保持器操作过程及步骤
图片尺寸827x591
舌侧丝保持器
图片尺寸1080x672
舌侧丝保持
图片尺寸478x335
舌侧固定保持器操作过程及步骤
图片尺寸827x591
舌侧直丝弓矫正技术理论实操培训课程
图片尺寸1080x775