舌癌的晚期症状图片晚

舌癌.伸长的智齿长期摩擦刺激导致.口内有烂牙根,边缘锐利的烂 - 抖音
图片尺寸716x964
舌癌舌底有一个白色肿块图
图片尺寸750x500
河南舌癌专家_河南治疗舌癌哪个专家好_河南治疗舌癌最好的专家/排行
图片尺寸400x300
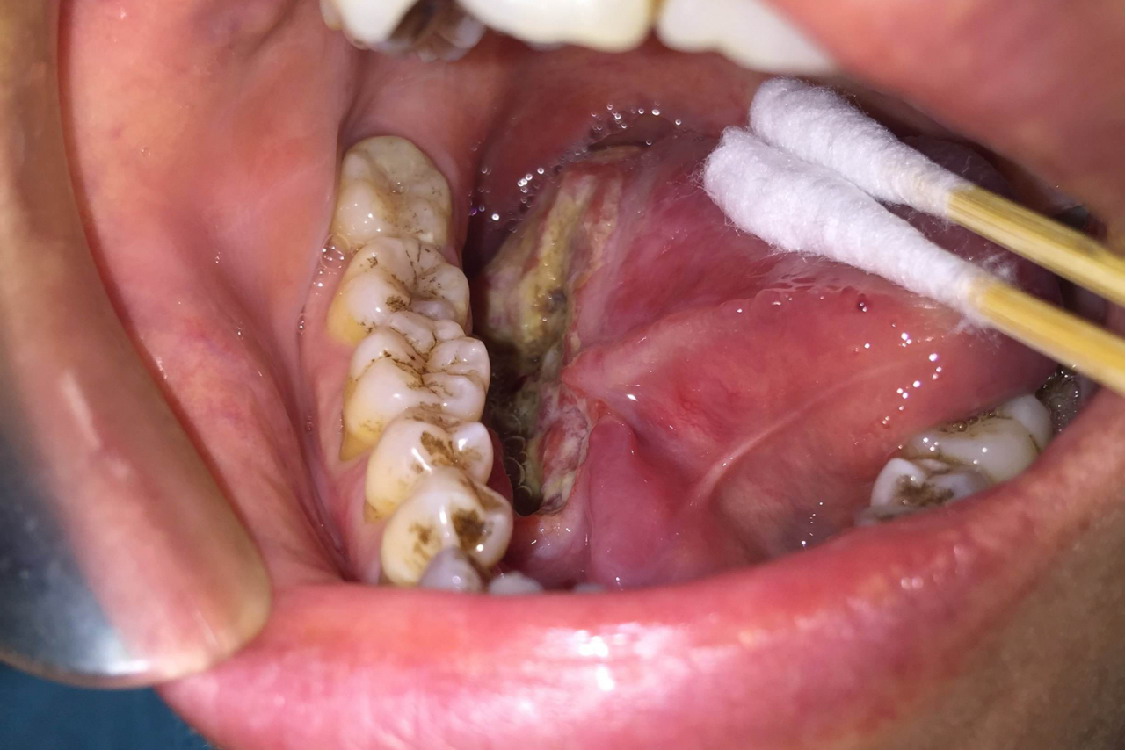
舌癌有什么症状图片
图片尺寸1120x747
舌癌图
图片尺寸750x500
河南舌癌专家_河南治疗舌癌哪个专家好_河南治疗舌癌最好的专家/排行
图片尺寸400x533
舌癌晚期图片
图片尺寸1126x751
《舌癌》
图片尺寸1080x1536
歌手张咪患上舌癌,为保命将切去一半舌头,已经是第三次患癌
图片尺寸970x1272
河南舌癌专家_河南治疗舌癌哪个专家好_河南治疗舌癌最好的专家/排行
图片尺寸798x720
舌癌
图片尺寸400x533
口腔溃疡莫小视,常德市二医院专家提醒:警惕舌癌!
图片尺寸660x880
【南华医院乳甲外科】mdt多学科合作,滚蛋吧,舌癌君!
图片尺寸2782x2000
舌癌_症状_手术_症状表现_治疗方式 - 好大夫在线
图片尺寸6000x4000
舌癌
图片尺寸1003x1280
晚期舌癌一例
图片尺寸680x510
轻微舌癌图片 (28)_有来医生
图片尺寸493x439
女性舌癌的早期症状图片
图片尺寸548x364
舌癌切除与组织瓣重建舌体
图片尺寸1480x1704
病例分享 | 93岁舌癌患者一例_治疗_化疗_情况
图片尺寸6449x3500