良性肝肿瘤
![[有图有真相]图解7种常见肝脏肿瘤—良性篇](https://imgs.wantubizhi.com/img/735A5D1F980B52A636CC46F12F2D1A73073D4012881CF773CAEC268C5F08534DAA72D6B28ADE80625B8465ED49A65F9801C71F4F0B84B32C2EB35829CC55153094D42659032DD00810EABEF2658F30207F261AFA16B5B02149EBDDF49F0B6479)
[有图有真相]图解7种常见肝脏肿瘤—良性篇
图片尺寸742x504
14种常见肝脏良恶性肿瘤图解
图片尺寸640x477
肝脏典型良性肿瘤mri表现
图片尺寸2313x2042
能不能微创治疗?_肝肿瘤_介绍_发病原因_治疗方式 - 好大夫在线
图片尺寸1440x1080
图解7种常见肝脏肿瘤—良性篇 - 好大夫在线
图片尺寸600x356
14种常见肝脏良恶性肿瘤图解
图片尺寸640x435
肝癌肝切除后肿瘤复发的肝移植手术治疗 - 好大夫在线
图片尺寸610x457
图解7种常见肝脏肿瘤—良性篇
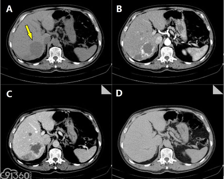
图片尺寸850x680
肝癌为什么要分期该如何理解这种分期方式呢
图片尺寸2000x2667
图解7种常见肝脏肿瘤—良性篇 (转载)
图片尺寸597x370
肝局灶性结节性增生(fnh)位居肝脏原发良性肿瘤发病率第二,女性发病占
图片尺寸397x257
有图有真相图解7种常见肝脏肿瘤良性篇
图片尺寸640x431
14种常见肝脏良恶性肿瘤图解
图片尺寸640x483
5种肝脏少见的良性肿瘤,影像医生们见过几个?
图片尺寸624x702
14种常见肝脏良恶性肿瘤图解
图片尺寸600x440
肝脏罕见的良性肿物:炎性假瘤 - 好大夫在线
图片尺寸2954x2537
肝腺瘤是的临床少见的上皮源性良性肝脏肿瘤,年轻(20~44岁)女性高发
图片尺寸640x432
对于其他的良性肿瘤,像腺瘤对于肝脏病变,目前体检发现的越来越多
图片尺寸3000x4000
儿童肝脏肿瘤之良性肿瘤概览
图片尺寸380x287
肝脏炎性假瘤的诊治_肝肿瘤_症状表现_检查_治疗方式 - 好大夫在线
图片尺寸2885x3030