艾滋病早期牙龈图片

艾滋病牙龈红线充血图
图片尺寸750x500
他这个属于牙龈典型尖锐湿疣我这个不是对吧我的拿棉签擦就没了不是疣
图片尺寸3072x2304
这是艾滋病口腔症状的龈缘红线吗? - 知乎
图片尺寸2560x852
艾滋病通过"口腔"就能看出来?当出现以下几种症状时,及时就医
图片尺寸558x369
边缘性龈炎的症状和图片 - 有来医生
图片尺寸400x300
这是艾滋病初期牙龈症状吗,没有任何不舒适感,就是很恐惧
图片尺寸375x500
艾滋病初期牙龈发炎图片
图片尺寸1242x828
但我用手扣过牙龈,怕手上的病毒传染到牙龈上?
图片尺寸690x920
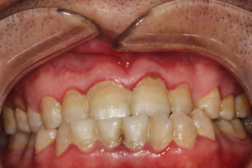
【口腔医学会专栏】艾滋病口腔黏膜病损及治疗_腾讯新闻
图片尺寸838x559
艾滋病牙龈溃疡图
图片尺寸750x500
边缘性龈炎的症状和图片 - 有来医生
图片尺寸400x300
牙龈白斑癌变前兆
图片尺寸500x375
边缘性龈炎的症状和图片 - 有来医生
图片尺寸400x300
牙龈纤维瘤病图
图片尺寸750x500
牙龈癌图
图片尺寸750x500
牙挺白,牙床子确黑!
图片尺寸576x1024
患者信息:男19岁浙江绍兴病情描述(发病时间,主要症状等):总是牙龈
图片尺寸1280x960
牙龈有凸起的包,或许是这些原因,可以这样处理 不少人在吃饭的过程中
图片尺寸1200x1600
牙龈肉凸出来了图片
图片尺寸750x500
病例回顾
图片尺寸768x1024