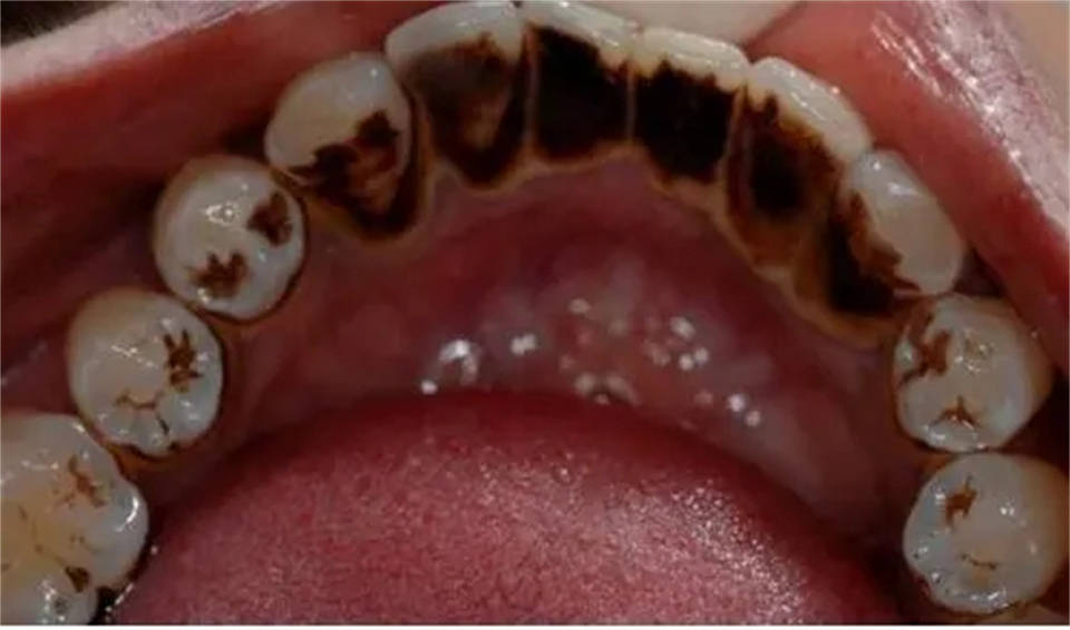
茶渍牙

牙齿_牙粉_因为
图片尺寸960x566
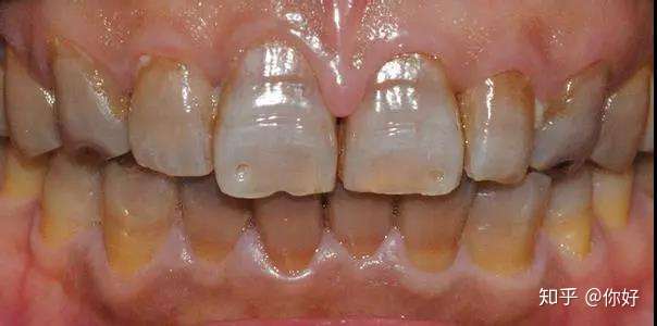
过来人紧急支招,牙渍一刷就没!_牙齿_因为_牙粉
图片尺寸960x550
牙渍茶渍真的刷不掉吗?过来人紧急支招,只需三步牙齿想不白都难!
图片尺寸960x600
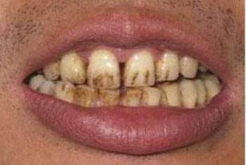
冷光美白解决茶渍牙
图片尺寸593x421
喝茶导致的茶渍牙怎么才能快速的除干净
图片尺寸450x278
看看自己牙齿上色素烟渍茶渍和牙结实洗掉这些有什么不好呢
图片尺寸1024x576
牙齿上的污渍全都没了?每天做好这两步再脏的牙也能白
图片尺寸750x456
牙齿着色问题,一般是饮食导致的,比如喝茶,喝咖啡和抽烟导致的茶渍牙
图片尺寸542x288
美白茶渍牙哪种方法价格便宜效果好
图片尺寸460x266
全都错了吸烟者用牙膏刷牙怪不得牙越来越黄
图片尺寸349x234
茶渍牙是如何产生的?
图片尺寸660x311
揭秘哪些人不能做牙齿美白这么火爆的项目做一次要多少钱
图片尺寸452x300
牙茶渍
图片尺寸592x512
苏州茶渍牙如何美白
图片尺寸718x300
常年喝茶留下的茶渍,坚持3周可明显变白.
图片尺寸750x326
你好 如氟斑牙,四环素牙,断裂残缺牙,瓜子牙,黄牙,烟牙,茶渍牙等
图片尺寸604x300
为了预防茶渍牙需要定期洗牙!麻烦!几个小妙招轻松帮你去除!
图片尺寸581x540
想要牙齿迅速美白,这个方法一定不能错过!_感觉_牙粉_因为
图片尺寸1280x854
随着现代牙科医疗技术的发展,茶渍牙美白有很多方法,如洗牙,喷砂美白
图片尺寸740x396
茶渍牙
图片尺寸500x300