菜花 女性

女性菜花病图片
图片尺寸354x265
白天,正面,草地,草坪,植物,蔬菜,叶子,欧洲,欧洲人,仅一个年轻女性
图片尺寸545x819
19岁女生感染hpv后长"菜花",为何没有性行为也会得?医生这么说_病毒
图片尺寸355x211
女性菜花状疣早期症状图片,米粒大小的疣体相互融合成菜花状
图片尺寸593x299
女人拿着菜花
图片尺寸800x1200
16岁女生手臂上长菜花被母亲痛骂医生为母亲检查发现真相
图片尺寸1116x719
00后女生脖子长菜花查出hpv男人4个行为要拒绝
图片尺寸660x440
女性各种尖锐疣图片,柔软易出血的米粒状丘疹增大至菜花状
图片尺寸551x382
7岁小女孩下体竟长出"菜花",妈妈痛哭,都怪我!
图片尺寸3003x1280
女性菜花状湿疣图片
图片尺寸534x349
女性hpv初期症状图片大全表现4种现象
图片尺寸535x491
持有一个美丽的新鲜原料菜花的女人
图片尺寸700x467
手里的西兰花图片
图片尺寸449x300
女性菜花式尖锐湿疣晚期图片
图片尺寸733x500
昇南菜花项链女s925银锁骨链欧美饰品韩版银饰毛衣颈链配链 a315-银色
图片尺寸800x800
花菜为什么是苦的可能是这4个原因
图片尺寸600x400
纯已久990足银项链女士锁骨链菜花链粗款满天星项链银链时尚银链子粗
图片尺寸800x800
腹腔镜膀胱癌根治术(女性)
图片尺寸1677x900
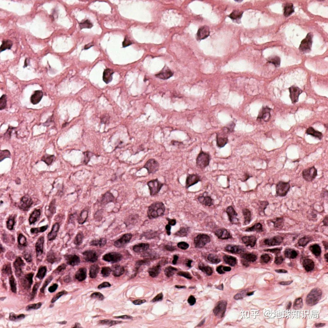
尖锐湿疣不只是长菜花地球知识局
图片尺寸1080x1080
女大学生手臂长菜花宿舍4人接连中招医生1物不该用
图片尺寸660x381