蒙氏结节照片曝光

怀孕乳晕上的结节图片
图片尺寸500x375
有没有知道这是什麼?怀孕后才有的,感觉就是个黑色小肉旮瘩,这是什麼?
图片尺寸400x400
乳晕周围有小疙瘩,他们说这是毒素堆积|蒙氏|结节|乳晕_新浪新闻
图片尺寸640x482
病情分析:您好,您说说的是蒙氏结节意见建议:蒙氏结节位于乳晕的外周
图片尺寸400x272
问:一年前怀孕胸前长个红嘎达有时很痒都一年了 没
图片尺寸480x640
身上总长疙瘩,痰凝!一张方子,治浑身粉瘤,脂肪瘤,值得一学
图片尺寸394x270
怀孕5月了身上陆续出现这样的小圈圈,不痛不痒的,会不会影响宝宝.
图片尺寸3264x2448
宝宝最常见的 4 种「小疙瘩」,教你有效应对!
图片尺寸758x859
乳晕上这些小突起是什么东西蒙氏结节你听说过吗
图片尺寸604x370
又暗白色的有红色的!
图片尺寸768x1024
200分!手上长了奇怪的疙瘩,懂的人来看看
图片尺寸1024x768
腋下两边同个位置涨了小疙瘩是什么?
图片尺寸1040x780
皮肤长了小肉球,小疙瘩是什么?可能是4类疾病,教你如何识别
图片尺寸600x526
小肠淋巴管扩张症 - 行业资讯 - hmp医乐网 - hmp 医乐网
图片尺寸600x600
蒙氏结节怎样治疗
图片尺寸1425x1025
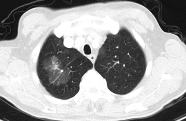
非典型磨玻璃结节(ggo)的表现
图片尺寸642x419
我b超上显示有乳腺结节想买保险还能买吗
图片尺寸640x328
女生都还没有怀孕为什么会长蒙氏结节呢
图片尺寸770x403
没怀孕乳房长了蒙氏结节怎么才能科学有效的消除
图片尺寸800x500
蒙台蒙特梭利蒙氏教具编结蝴蝶结大小纽扣别针插按扣国际板衣饰架
图片尺寸790x636