虎牙矫正后脸型变化图

虎牙矫正前后对比
图片尺寸468x468
小时候虎牙没矫正,长大后只能拔牙了吗?
图片尺寸780x270
虎牙妹妹矫正,绽放自信笑容
图片尺寸567x810
虎牙矫正前后对比效果
图片尺寸500x559
虎牙破坏气质?小姐姐矫正变身成熟女神!
图片尺寸1284x1712
虎牙矫正两年后的效果.jpg
图片尺寸550x200
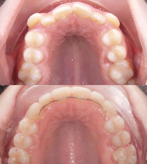
深圳格伦菲尔口腔虎牙矫正前后对比图
图片尺寸500x304
你们谁知道有虎牙的怎么矫正,不能拔!拔了会让嘴巴塌陷
图片尺寸500x500
虎牙対刃拥挤,19个月地包天男孩重获自信笑容
图片尺寸414x787
正畸一个月的变化 虎牙排齐了一个_正畸_美妆_医美整形
图片尺寸1080x1077
长歪的虎牙可以矫正吗上海正畸虎牙的牙科有推荐吗
图片尺寸335x353
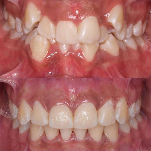
虎牙男生矫正,绽放自信笑容!(骨性下颌后缩)
图片尺寸960x784
有虎牙需要戴牙套做牙齿矫正吗注意虎牙可能潜伏有隐患
图片尺寸352x218
虎牙矫正前后对比图
图片尺寸552x430
虎牙矫正前后对比图
图片尺寸532x249
牙齿矫正案例 |虎牙女生不拔牙矫正,14个月纠正歪头笑!
图片尺寸570x922
嘴突拥挤虎牙,23个月精致少女感达成!
图片尺寸1242x2066
你们谁知道有虎牙的怎么矫正,不能拔!拔了会让嘴巴塌陷
图片尺寸500x500
真人案例牙知道虎牙矫正前后对比有差距
图片尺寸500x253
虎牙矫正220天了侧面比之前好不少
图片尺寸570x788