虎牙长在牙龈上矫正图

虎牙错位拥挤怎么矫正?
图片尺寸810x607
虎牙破坏气质小姐姐矫正变身成熟女神
图片尺寸1284x1712
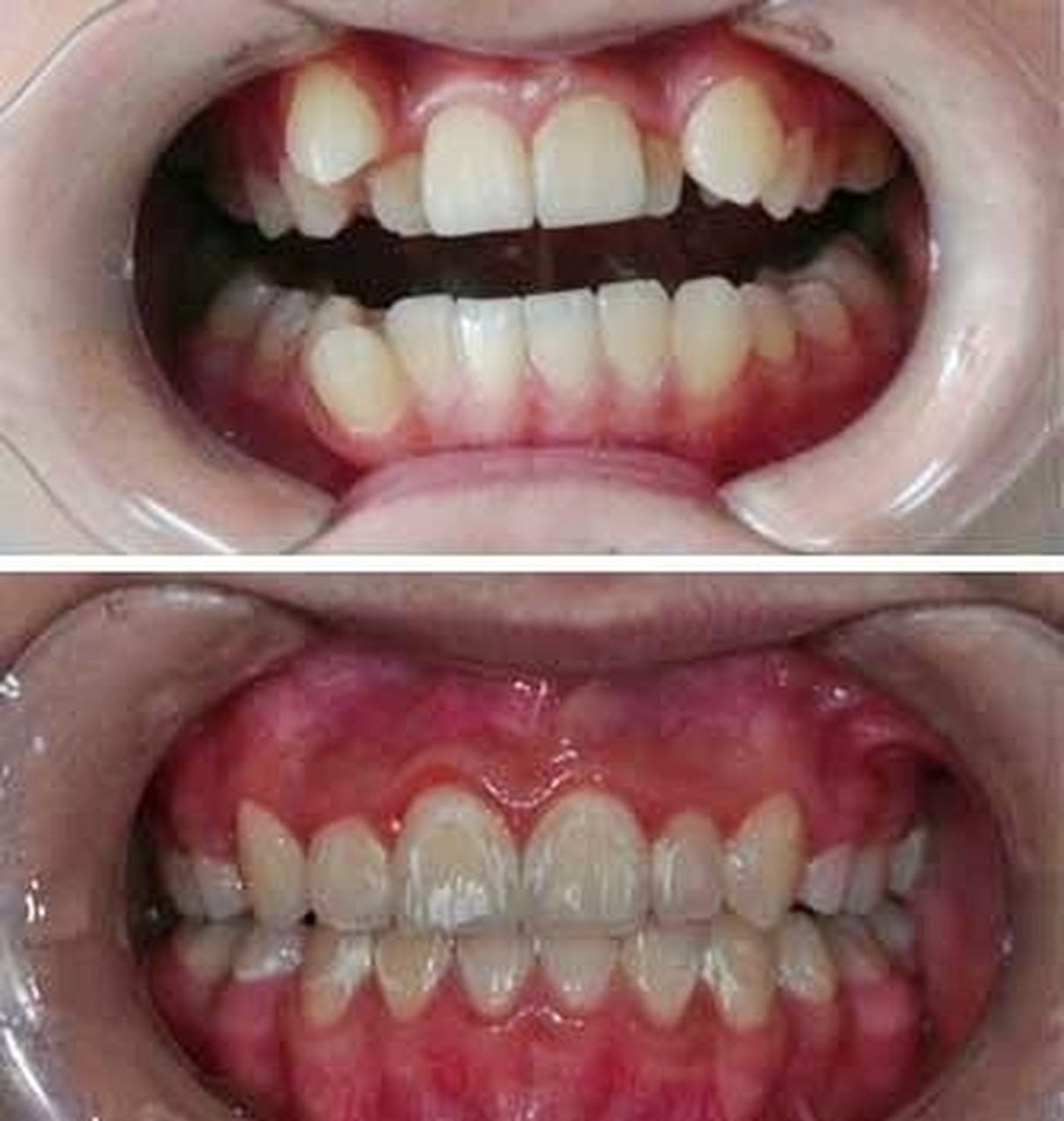
来矫正的顾客,很多都是尖牙突出,也就是人们口中的虎牙长在牙列的
图片尺寸1922x1280
国学文化 #道家文化 #易经文化 #民俗文化 #虎牙 - 抖音
图片尺寸1440x2860
虎牙正畸_牙齿矫正_牙套_皮筋_美妆_医美整形
图片尺寸1080x1080
虎牙矫正第31副啦~效果太棒 自己看吧.
图片尺寸570x760
清洁后的牙龈发炎和龋齿也会紧紧伴随#牙齿矫正##成都牙齿矫正##虎牙
图片尺寸690x919
25岁高龄少女虎牙矫正记录 - 知乎
图片尺寸1080x1440
长了虎牙要进行矫正嘛? - 知乎
图片尺寸580x804
七年级男生牙齿矫正虎牙到合理的位置了_牙套_牙齿矫正_青春期_矫正
图片尺寸1080x886
孩子有"小虎牙",要矫正吗?
图片尺寸1242x829
来矫正的顾客,很多都是尖牙突出,也就是人们口中的虎牙长在牙列的
图片尺寸1215x1280
虎牙矫正动画演示过程分享!
图片尺寸442x331
虎牙矫正327天
图片尺寸1080x1439
昆明牙齿矫正虎年收服小虎牙有多少人被可爱的虎牙误导了
图片尺寸1242x1242
99【青少年矫正案例:虎牙异位萌出】
图片尺寸690x690
小虎牙矫正后,孩子更帅气了,花点钱,受点罪是值得的.
图片尺寸1280x1280
32岁虎牙正畸过程分享,花了17个月的时间终于变得美美哒!
图片尺寸500x500
虎牙矫正需要拔牙吗?看完你就明白了
图片尺寸720x1280
小虎牙,看我怎么收拾它.今天告诉大家,如何解决翘翘的小虎牙和 - 抖音
图片尺寸1080x1438