蛀牙x光

看看看看,暗影部位,蛀牙已经很深了.
图片尺寸640x360
左下侧尾齿蛀牙疼痛期间半年左右反复发作x光片显示牙齿下方有阴影
图片尺寸2872x1504
一般来说,常见的蛀牙通常可以通过牙片发现,尤其是龋坏比较多(如下图)
图片尺寸640x640
牙医碰见最烂的牙有多烂?
图片尺寸720x459
发现这蛀牙多亏了我的火眼金睛,当然也拍摄了x光片进行了确认.
图片尺寸5184x3456
左下牙周x光片牙种植体的x线检查右上牙周x光片上牙周x光片深深的蛀牙
图片尺寸700x529
牙齿x光片怎么看蛀牙 x光检查牙齿龋坏的现象
图片尺寸640x1136
牙齿长蛀牙了,不痛不痒,拍了牙齿片子,医生让我拔智齿,有专业的医生看
图片尺寸1024x576
火眼金睛识蛀牙-林建波-爱问医生
图片尺寸5184x3456
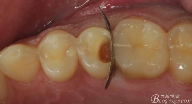
邻面龋
图片尺寸680x510
我的蛀牙很久了,最近发炎酸疼,医生说要拔牙,救命啊!
图片尺寸500x393
维尔口腔为了利益多补牙,没有龋齿也给钻了
图片尺寸1200x1600
术前x光片,确定龋洞位置大小然而是不可能的,只能尽力去采用微创的
图片尺寸640x318
根管预备中诊断片对工作长度的确定作用
图片尺寸449x720
北京圣贝口腔继发龋补牙案例分享
图片尺寸854x924
维尔口腔为了利益多补牙,没有龋齿也给钻了
图片尺寸1437x1600
维尔口腔为了利益多补牙,没有龋齿也给钻了
图片尺寸1200x1600
让人忽视的牙洞
图片尺寸680x519
无额外费用,拍了个片子,牙齿有些蛀牙了,就在网上团_圈子-新氧美容
图片尺寸1280x1706
术前x光片,确定龋洞位置大小然而是不可能的,只能尽力去采用微创的
图片尺寸640x348