蛀虫牙齿

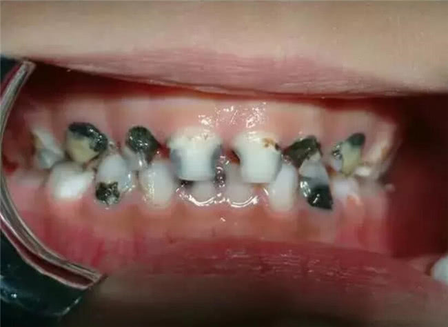
小孩子七岁,牙齿蛀成这样,可以补吗?
图片尺寸640x853
7岁小孩牙齿被蛀虫后有颗像红钻似的东西?
图片尺寸768x1024
蛀牙不补,攒好钱等着种牙吧
图片尺寸1078x850
中西区龋齿专家_中西区治疗龋齿哪个专家好_中西区
图片尺寸706x400
5岁女孩不吃糖牙齿却全烂光,大夫检查后,大骂奶奶的无知|牙齿|蛀虫
图片尺寸650x474
顾客是一位19岁的 小朋友,因为长期饮食不好,导致牙齿有蛀虫,牙齿
图片尺寸1712x1284
蛀牙真是被蛀虫咬的吗3d动画演示全程看着都感觉疼
图片尺寸640x393
龋齿分为3个发展阶段到这一阶段才发现就为时已晚了
图片尺寸607x375
防蛀牙牙膏龋齿修复蛀虫
图片尺寸800x800
一颗被蛀虫吃空的牙齿是如何在医生的操作下恢复如初?
图片尺寸640x360
最里面那颗牙齿是蛀牙,空了三分之一疼了有半年,到底怎么办?
图片尺寸406x312
牙齿变黑之后不疼就不用管吗?蛀牙对身体影响大吗?看完长知识了
图片尺寸640x389
乳牙蛀牙要补吗 蛀牙的保险
图片尺寸638x689
平安保险险种 平安保险蛀牙
图片尺寸639x386
牙齿龋坏不治疗危害有多大?专家告诉你严重的影响
图片尺寸3281x2649
虫牙里面真的有虫吗图片,牙齿里取出活虫是真的吗_竞价网
图片尺寸490x305
有哪些食物可以预防蛀牙
图片尺寸1280x960
牙齿蛀牙了一半可以补回来了吗?为什么医生非要让我根管!
图片尺寸400x261
牙颌畸形,不仅影响面型,清洁也成了难题,细菌堆积后会再次腐蚀牙齿
图片尺寸2887x2376
为什么奶瓶龋好发于婴幼儿,因为刚长出来的牙齿牙釉质,牙本质薄钙化
图片尺寸640x480