蛇唇窝

临床医学 口腔解剖生理学 上颌中切牙ppt 4,舌面: (1)形态与唇面相似
图片尺寸1080x810
形似但小于唇面 b.舌窝 c.边缘嵴 舌隆突 切嵴
图片尺寸1080x810
唇腭部的生理解剖特点之腭的解剖二
图片尺寸720x579
近切角直别左右,唇切三分发育沟,舌窝周是嵴边缘,唇切舌切各轴面,颈三
图片尺寸400x400
写美篇舌色及龈,唇皆无血色,称为"枯白".
图片尺寸330x283
2. 宝宝的舌尖能伸出唇外吗?
图片尺寸640x481
65 唇切三分发育沟,舌窝周是嵴边缘, 65 唇切舌切各轴面,颈三
图片尺寸1024x1024
近切角直别左右,唇切三分发育沟,舌窝周是嵴边缘,唇切舌切各轴面,颈三
图片尺寸400x380
b:口呼吸时舌位置较低,伴有后牙反颌.
图片尺寸299x140
语言功能障碍者早期给予语言训练,制作语言锻炼操:唇,舌,腭的训练以及
图片尺寸1080x1080
语音的差异主要表现有:多数地区平翘舌音不分,n,l不辨,缺少eng,ing,e
图片尺寸1080x810
近切角直别左右,唇切三分发育沟,舌窝周是嵴边缘,唇切舌切各轴面,颈三
图片尺寸500x360
摆脱侧脸土气简单3步拯救凸嘴厚唇
图片尺寸1080x1439
资阳市第四人民医院
图片尺寸308x174
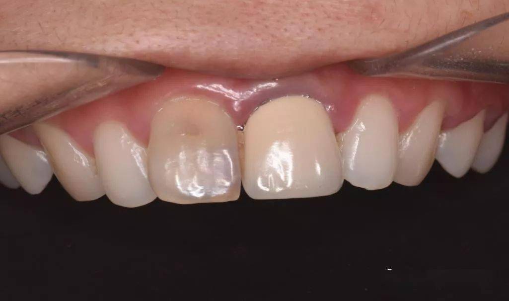
口腔检查:口腔卫生状况一般,11牙冠变色,近中邻面见齿色填充物,舌侧窝
图片尺寸1025x606
看这个男孩10岁时的照片,嘴唇闭合,面部比例自然协调.
图片尺寸450x271
切端有切嵴 近中有近中边缘嵴 远中有远中边缘嵴 一)舌面观唇面大于舌
图片尺寸541x539
唇舌侧去腐质前的照片
图片尺寸710x312
沙漠干唇有救了78这支唇蜜精华太牛了
图片尺寸1080x1439
侧壁穿孔是指种植窝备洞时,唇(颊)舌侧骨壁穿孔(图8-11).
图片尺寸800x502