蛛网膜下腔出血ct表现

ct检查结果:广泛蛛网膜下出血
图片尺寸1920x2560
入院头颅ct显示双侧蛛网膜下腔,纵裂,基底池脑室广泛出血
图片尺寸593x366
脑ct示颅内蛛网膜下腔出血
图片尺寸1735x1907
患者老年女性,因突发意识不清入院,ct示蛛网膜下腔出血
图片尺寸2000x2666
自发性蛛网膜下腔出血,合并脑积水.既往肾炎,高血压.术中见血 - 抖音
图片尺寸1440x1920
脑动脉瘤破裂蛛网膜下腔出血怎么办
图片尺寸554x638
术前ct检查:蛛网膜下腔出血位置
图片尺寸568x726
术前ct提示蛛网膜下腔出血
图片尺寸1919x1079
颅脑ct提示蛛网膜下腔出血
图片尺寸2000x2667
蛛网膜下腔出血还是小脑幕硬膜下血肿? | 医学影像园
图片尺寸361x469
蛛网膜下腔出血
图片尺寸3968x2232
入院ct平扫提示蛛网膜下腔出血
图片尺寸2095x2000
【影像讨论】蛛网膜下腔出血影像分析
图片尺寸4208x2233
入院头颅ct示蛛网膜下腔出血
图片尺寸1199x1599
ct示蛛网膜下腔出血
图片尺寸1199x1599
【影像讨论】蛛网膜下腔出血影像分析
图片尺寸4208x2058
自发蛛网膜下腔出血ct影像,多为脑动脉瘤破裂出血血一一一一一神经
图片尺寸2000x2666
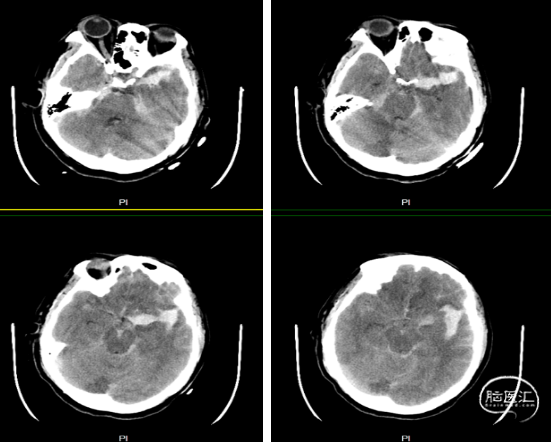
患者突发头痛头晕4小时入院,头ct示蛛网膜下腔出血.
图片尺寸3024x4032
【影像讨论】蛛网膜下腔出血影像分析
图片尺寸4035x1924
图1. 头颅ct示广泛蛛网膜下腔出血,左侧侧裂为主. 术前dsa(图2)结果
图片尺寸552x442