蛛网膜下腔出血ct解说

非创伤性颅内出血ct图解!#医学科普仅供参考如有不适请线下就 - 抖音
图片尺寸928x667
蛛网膜下腔出血(sah)ppt
图片尺寸1080x810
蛛网膜下腔出血
图片尺寸898x763
蛛网膜下腔出血——完结篇|精彩不容错过!_腾讯新闻
图片尺寸949x556
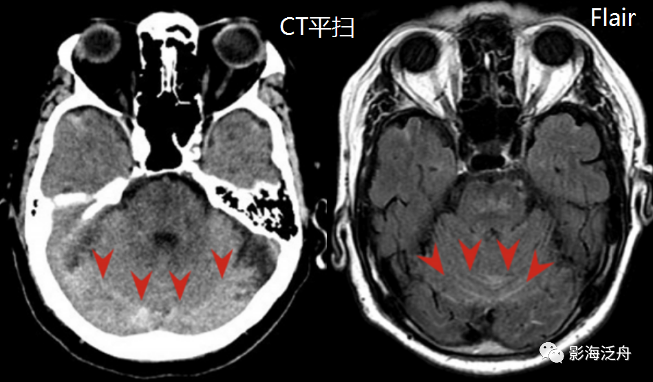
蛛网膜下腔出血的ct平扫表现
图片尺寸412x509
蛛网膜下腔出血
图片尺寸1080x1080
蛛网膜下腔出血
图片尺寸1080x810
蛛网膜下腔出血ppt课件
图片尺寸920x690
【ppt】脑出血(影像学诊断)
图片尺寸960x720
颅内出血最常见的有脑实质出血,蛛网膜下腔出血,硬膜下出血及硬膜外
图片尺寸865x1112
蛛网膜下腔出血
图片尺寸793x616
不同部位所致蛛网膜下腔出血的头颅ct表现_第2页
图片尺寸920x1302
如ct证实脑池和蛛网膜下腔高密度出血征象,腰穿压力明显增高和血性
图片尺寸600x569
入院头颅ct显示双侧蛛网膜下腔,纵裂,基底池脑室广泛出血
图片尺寸593x366
蛛网膜下腔出血
图片尺寸1080x810
头 蛛网膜下腔出血
图片尺寸1080x810
原发性蛛网膜下腔出血 ①生后第2天发作惊厥; ②发作间歇情况良好; ③
图片尺寸1080x810
蛛网膜下腔出血ct图
图片尺寸1065x946
蛛网膜下腔出血
图片尺寸1080x810
蛛网膜下腔出血
图片尺寸1080x810