蛛网膜的位置ct图片

非创伤性颅内出血ct图解!#医学科普仅供参考如有不适请线下就 - 抖音
图片尺寸928x667
蛛网膜下腔出血怎么办?
图片尺寸1920x1280
ct检查未发现阳性结果,且临床怀疑有蛛网膜下腔出血时, csf可用腰椎
图片尺寸640x480
蛛网膜囊肿:是脑脊液在蛛网膜和软脑膜之间的腔隙内 - 抖音
图片尺寸880x1728
6岁儿童,因头痛,头晕2年入院,头颅mr示左侧颞叶蛛网膜囊肿(图1-3),与
图片尺寸2667x2000
分析蛛网膜下腔出血真没那么简单
图片尺寸1000x569
蛛网膜下腔出血——完结篇|精彩不容错过!_腾讯新闻
图片尺寸1000x623
临床医生都认为只有ct才能诊断少量蛛网膜出血,殊不知mri
图片尺寸1080x1271
蛛网膜囊肿主要可以分为哪几种?治疗这种疾病的主要方法有哪些?
图片尺寸2000x1500
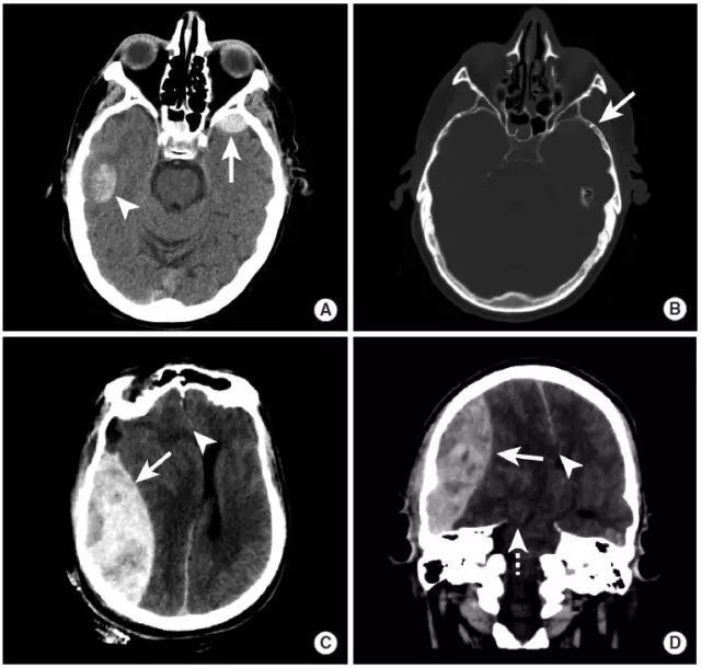
这例双侧颞叶出血伴蛛网膜下腔出血,病因出乎意料
图片尺寸734x694
巨大前颅窝蛛网膜囊肿
图片尺寸3024x4032
ct平扫时蛛网膜囊肿表现为局部脑裂或脑池扩大,囊肿内容物与脑脊液
图片尺寸1025x1117
不敢"误诊"的颅脑解剖结构—蛛网膜颗粒转载于"熊猫影像" - 抖音
图片尺寸640x668
蛛网膜下腔出血,这一听起来颇为专业的医学名词,其实离我们并不遥远.
图片尺寸2048x1478
凸面蛛网膜下腔出血.
图片尺寸1178x740
硬膜外血肿
图片尺寸640x610
右侧横窦多个蛛网膜颗粒压迹本组还有多个精彩病例感兴趣的话就快快
图片尺寸576x917
这是可以让一个家庭彻底崩溃的:蛛网膜下腔出血|动脉瘤|脑积水|脑出血
图片尺寸640x606
巨大前颅窝蛛网膜囊肿
图片尺寸3024x4032
如果ct检查怀疑蛛网膜囊肿,建议
图片尺寸1080x1261