蜂窝肺

【病例讨论】蜂窝肺改变-迁延3个月,抗生素应用仍不见好转
图片尺寸3264x2448
一文总结蜂窝肺你了解多少│临床必备
图片尺寸322x380
蜂窝肺
图片尺寸500x358
少见病例病史资料全蜂窝肺高手来帮着诊断一下
图片尺寸1429x2032
蜂窝肺
图片尺寸500x486
【讨论】左肺蜂窝状改变84289【随访反馈】
图片尺寸640x442
咳嗽低热一个月以为是感冒26岁小伙突然咯血双肺已成马蜂窝
图片尺寸660x554
一文总结蜂窝肺你了解多少│临床必备
图片尺寸380x251
【每日晨读】单侧蜂窝肺的启示
图片尺寸750x563
单侧肺蜂窝样改变
图片尺寸4160x3120
蜂窝肺的定义与探讨
图片尺寸733x721
一文总结蜂窝肺你了解多少│临床必备
图片尺寸380x326
赏金新闻
图片尺寸690x388
一文总结蜂窝肺你了解多少│临床必备
图片尺寸189x380
马赛克灌注,蜂窝肺2
图片尺寸756x470
【病例讨论】蜂窝肺改变-迁延3个月,抗生素应用仍不见好转
图片尺寸3264x2448
蜂窝肺的定义与探讨
图片尺寸750x580
蜂窝肺的定义与探讨
图片尺寸750x618
蜂窝肺的定义与探讨
图片尺寸640x628
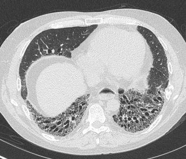
hrct影像:纤维化和蜂窝样变之特发性肺纤维化 (ipf)
图片尺寸420x304