蜕膜组织

人体胚胎学的绪论
图片尺寸500x448
此时所谓的月经里排出的息肉样物质,可能是胚胎组织与子宫内膜蜕膜
图片尺寸750x500
来月经从里面掉下来一个肉球,这是什么
图片尺寸600x1066
包蜕膜,壁蜕膜,底蜕膜,绒毛膜,羊膜(图片)
图片尺寸640x607
恶露知多少
图片尺寸1000x650
蜕膜组织的介绍
图片尺寸300x220
包蜕膜,壁蜕膜,底蜕膜,绒毛膜,羊膜(图片)
图片尺寸639x660
蜕膜组织医学名词
图片尺寸450x511
图3 早孕示意图e代表孕囊,其它为蜕膜组织问医生,药流不干净一定要
图片尺寸481x553
蜕膜组织
图片尺寸1080x1441
刨腹产后40多天从下面流下一个大肉块怎么办
图片尺寸600x800
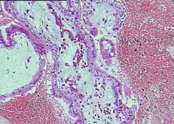
子宫内膜部分区域萎缩伴腺体组织消失,间质呈蜕膜样反应为其主要特征.
图片尺寸412x640
20,又有东西一骨碌滑出来,一看跟之前的血块不一样,应该就是蜕膜组织
图片尺寸1724x1845
宫外孕经过治疗后有组织物排出有图求真相这是蜕膜吗
图片尺寸850x606
从外观上看,胎盘分成两个面:胎盘蜕膜干细胞来源于胎盘的蜕膜组织
图片尺寸700x500
蜕膜反应
图片尺寸300x220
病理诊断的概述
图片尺寸400x300
药物流产原理 药物流产通过服用米非司酮类药物使宫颈变软,子宫蜕膜
图片尺寸600x347
蜕膜组织
图片尺寸360x256
是胚胎么?
图片尺寸1024x489