蜗孔

耳蜗的顶端称,蜗顶朝向前外方.底端称蜗底.朝向后内方,对着内耳道底.
图片尺寸2048x1536
蜗管.jpg
图片尺寸769x482
耳蜗纵行剖面(甲)和耳蜗管的横断面(乙)
图片尺寸1080x810
内含外淋巴液体,鼓阶中的外淋巴在耳蜗顶部通过蜗孔与前庭阶中的外淋
图片尺寸873x670
中耳半规管第七节前庭蜗器
图片尺寸562x350
内耳及相关解剖结构的教学方法和经验
图片尺寸958x412
为什么带耳机睡觉单曲循环一晚起来歌曲的调子全变了
图片尺寸530x796
所有分类 高等教育 医学 组织学与胚胎学之眼和耳(耳)2ppt 外耳 耳蜗
图片尺寸1080x810
新生儿听力筛查检查项目有哪些?株洲助听器.
图片尺寸600x348
人工耳蜗植入无需开颅且手术风险极低手术简单为何如此昂贵
图片尺寸800x540
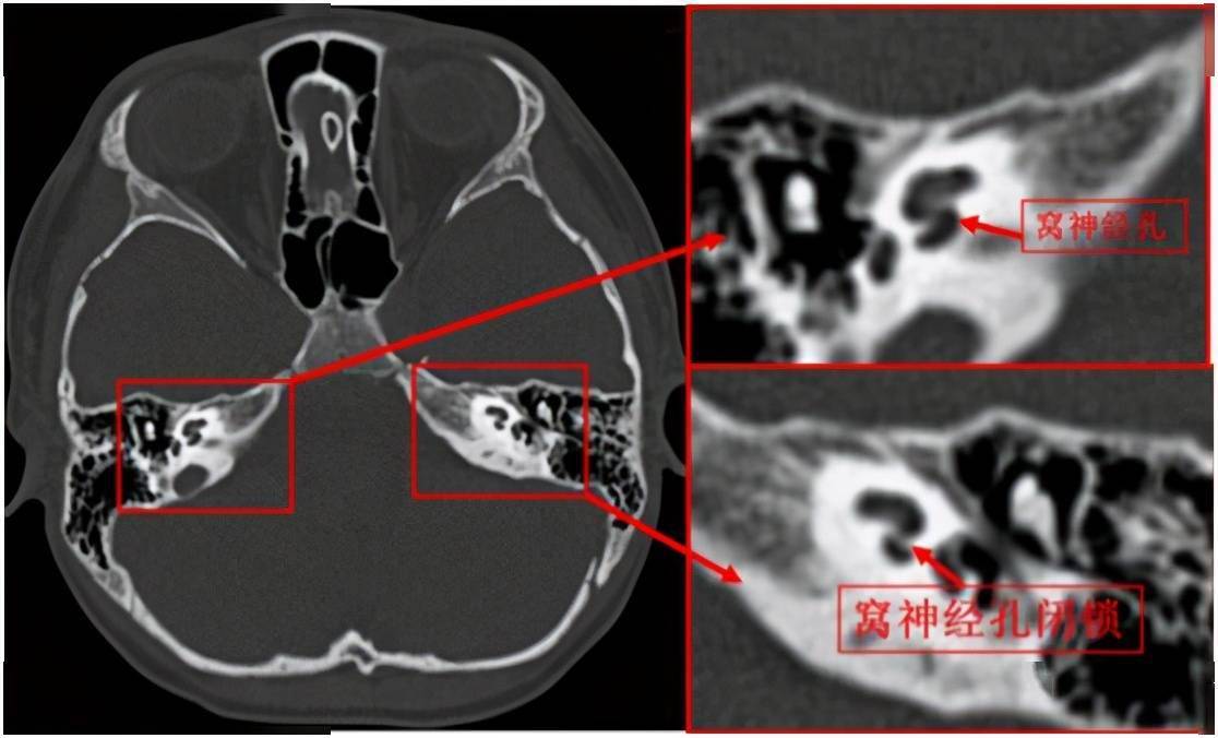
仔细查看扬扬的磁共振及ct影像,发现左侧蜗神经孔闭锁,蜗神经缺如
图片尺寸1116x676
耳蜗的底部是坚硬的基底膜,与鼓阶相连.
图片尺寸1080x1628
生理学课件 感觉器官(二)ppt ①前庭阶和鼓阶: 在蜗顶部以蜗 孔使二阶
图片尺寸1080x810
圈.蜗底面向内耳道,耳蜗神经穿过此处许多小孔进入耳蜗.
图片尺寸504x329
sv与st在耳蜗顶部有一个小孔互通.
图片尺寸600x779
仔细查看扬扬的磁共振及 ct 影像,发现左侧蜗神经孔闭锁,蜗神经缺如
图片尺寸588x726
听觉通路
图片尺寸323x330
共振说
图片尺寸300x301
科 肿瘤科 桥小脑角区肿瘤性病变的影像鉴别诊断2,双侧颈静脉孔不对称
图片尺寸800x1132
5,提口角肌提口角肌起自眶下孔下方的尖牙窝,与口轮匝肌相连,附着于蜗
图片尺寸515x387